PACSIN3 antibody
Quick Overview for PACSIN3 antibody (ABIN7264672)
Target
See all PACSIN3 AntibodiesReactivity
Host
Clonality
Conjugate
Application
-
-
Characteristics
- Polyclonal Antibody
-
Purification
- Affinity purification
-
Immunogen
- Recombinant fusion protein of human PACSIN3 (NP_057307.2).
-
Isotype
- IgG
-
-
-
-
Application Notes
- WB 1:500-1:2000
-
Restrictions
- For Research Use only
-
-
-
Format
- Liquid
-
Concentration
- 1 mg/mL
-
Buffer
- PBS with 0.02 % sodium azide, 50 % glycerol, pH 7.3
-
Preservative
- Sodium azide
-
Precaution of Use
- This product contains Sodium azide: a POISONOUS AND HAZARDOUS SUBSTANCE which should be handled by trained staff only.
-
Storage
- -20 °C
-
Storage Comment
- Store at -20°C. Avoid freeze / thaw cycles.
-
-
- PACSIN3 (Protein Kinase C and Casein Kinase Substrate in Neurons 3 (PACSIN3))
-
Alternative Name
- PACSIN3
-
Background
- This gene is a member of the protein kinase C and casein kinase substrate in neurons family. The encoded protein is involved in linking the actin cytoskeleton with vesicle formation. Alternative splicing results in multiple transcript variants.
-
Molecular Weight
-
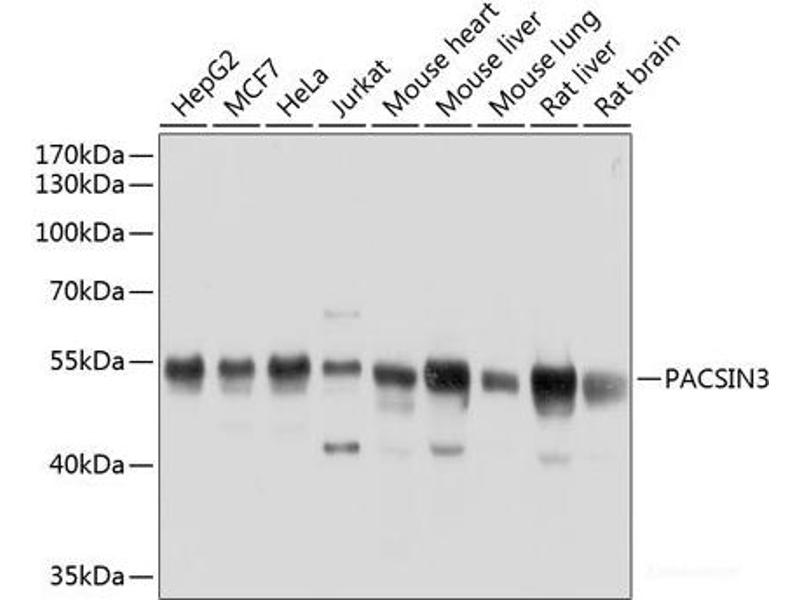
Observed_MW: 48 kDa
Calculated_MW: 48 kDa
-
Gene ID
- 29763
-
UniProt
- Q9UKS6
Target
-