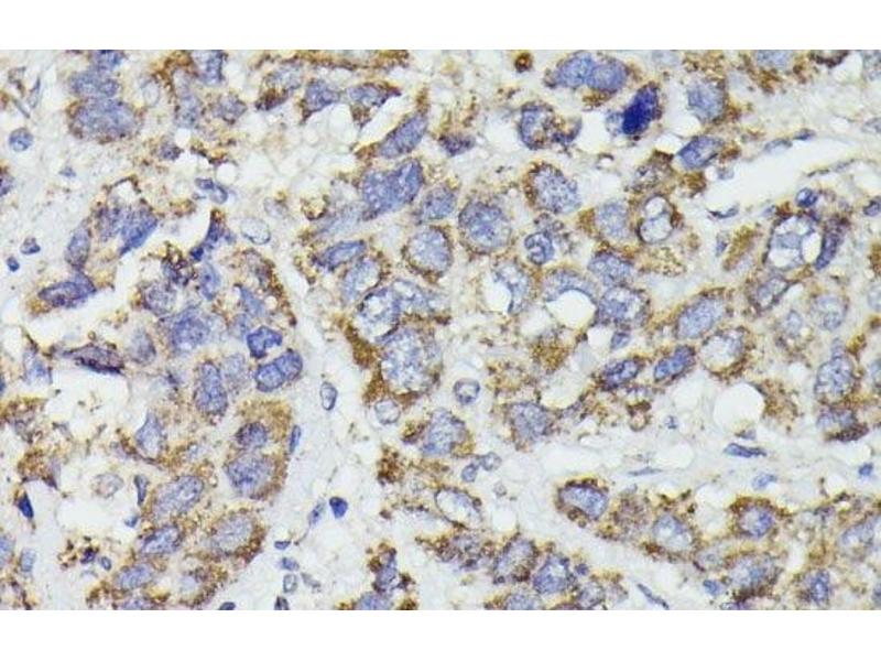
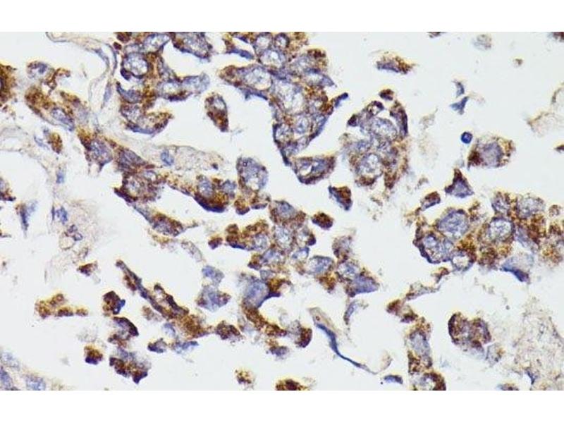
SUCLG2 antibody
Quick Overview for SUCLG2 antibody (ABIN7264719)
Target
See all SUCLG2 AntibodiesReactivity
Host
Clonality
Conjugate
Application
-
-
Characteristics
- Polyclonal Antibody
-
Purification
- Affinity purification
-
Immunogen
- Recombinant fusion protein of human SUCLG2 (NP_003839.2).
-
Isotype
- IgG
-
-
-
-
Application Notes
- WB 1:500-1:2000 IHC 1:50-1:200 IF 1:50-1:100
-
Restrictions
- For Research Use only
-
-
-
Format
- Liquid
-
Concentration
- 1 mg/mL
-
Buffer
- PBS with 0.02 % sodium azide, 50 % glycerol, pH 7.3
-
Preservative
- Sodium azide
-
Precaution of Use
- This product contains Sodium azide: a POISONOUS AND HAZARDOUS SUBSTANCE which should be handled by trained staff only.
-
Storage
- -20 °C
-
Storage Comment
- Store at -20°C. Avoid freeze / thaw cycles.
-
-
- SUCLG2 (Succinate-CoA Ligase, GDP-Forming, beta Subunit (SUCLG2))
-
Alternative Name
- SUCLG2
-
Background
- This gene encodes a GTP-specific beta subunit of succinyl-CoA synthetase. Succinyl-CoA synthetase catalyzes the reversible reaction involving the formation of succinyl-CoA and succinate. Alternate splicing results in multiple transcript variants. Pseudogenes of this gene are found on chromosomes 5 and 12.
-
Molecular Weight
-
Observed_MW: 47 kDa
Calculated_MW: 46 kDa/47 kDa
-
Gene ID
- 8801
-
UniProt
- Q96I99
Target
-