ASF1A antibody (AA 101-204)
Quick Overview for ASF1A antibody (AA 101-204) (ABIN703961)
Target
See all ASF1A AntibodiesReactivity
Host
Clonality
Conjugate
Application
-
-
Binding Specificity
- AA 101-204
-
Cross-Reactivity
- Human, Mouse, Rat
-
Predicted Reactivity
- Cow,Pig
-
Purification
- Purified by Protein A.
-
Immunogen
- KLH conjugated synthetic peptide derived from human ASF1A
-
Isotype
- IgG
-
-
-
-
Application Notes
-
WB 1:300-5000
ELISA 1:500-1000
FCM 1:20-100
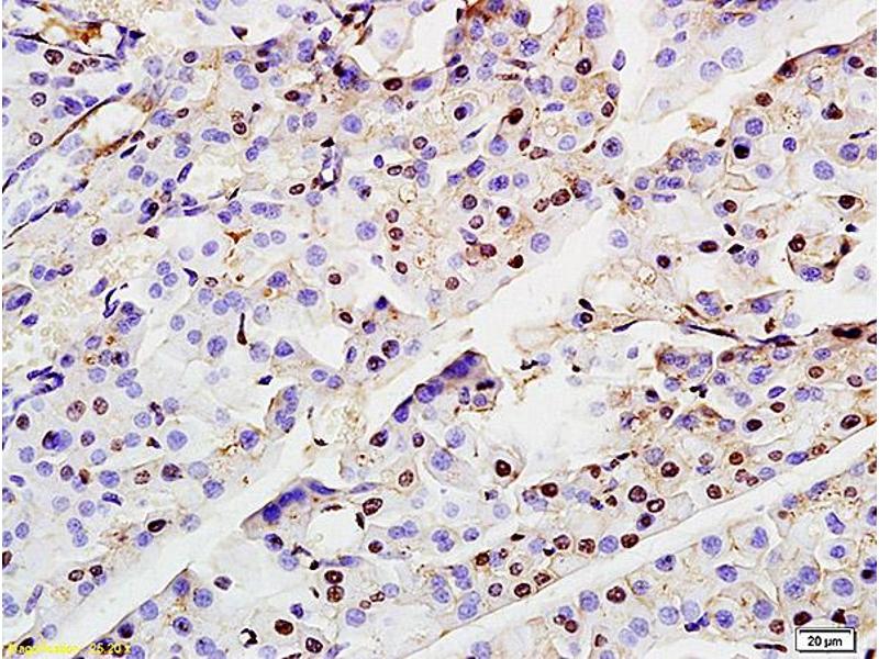
IHC-P 1:200-400
IHC-F 1:100-500
IF(IHC-P) 1:50-200
IF(IHC-F) 1:50-200
IF(ICC) 1:50-200 -
Restrictions
- For Research Use only
-
-
-
Format
- Liquid
-
Concentration
- 1 μg/μL
-
Buffer
- 0.01M TBS( pH 7.4) with 1 % BSA, 0.02 % Proclin300 and 50 % Glycerol.
-
Preservative
- ProClin
-
Precaution of Use
- This product contains ProClin: a POISONOUS AND HAZARDOUS SUBSTANCE, which should be handled by trained staff only.
-
Storage
- 4 °C,-20 °C
-
Storage Comment
- Shipped at 4°C. Store at -20°C for one year. Avoid repeated freeze/thaw cycles.
-
Expiry Date
- 12 months
-
-
- ASF1A (ASF1 Anti-Silencing Function 1 Homolog A (S. Cerevisiae) (ASF1A))
-
Alternative Name
- ASF1A
-
Background
-
Synonyms: CIA, CGI-98, HSPC146, Histone chaperone ASF1A, Anti-silencing function protein 1 homolog A, hAsf1, hAsf1a, CCG1-interacting factor A, hCIA, ASF1A
Background: Histone chaperone that facilitates histone deposition and histone exchange and removal during nucleosome assembly and disassembly. Cooperates with chromatin assembly factor 1 (CAF-1) to promote replication-dependent chromatin assembly and with HIRA to promote replication-independent chromatin assembly. Required for the formation of senescence-associated heterochromatin foci (SAHF) and efficient senescence-associated cell cycle exit.
-
Gene ID
- 25842
-
UniProt
- Q9Y294
Target
-