SCD antibody (AA 265-359)
Quick Overview for SCD antibody (AA 265-359) (ABIN704111)
Target
See all SCD AntibodiesReactivity
Host
Clonality
Conjugate
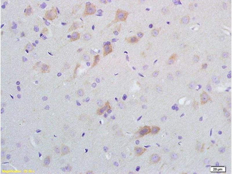
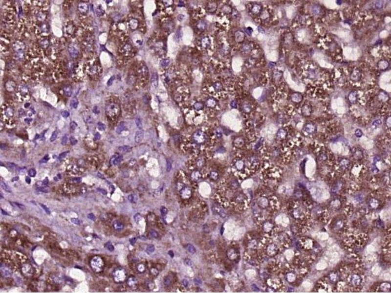
Application
-
-
Binding Specificity
- AA 265-359
-
Cross-Reactivity
- Human, Mouse, Rat
-
Predicted Reactivity
- Dog,Cow,Sheep,Pig,Rabbit
-
Purification
- Purified by Protein A.
-
Immunogen
- KLH conjugated synthetic peptide derived from human SCD1
-
Isotype
- IgG
-
-
-
-
Application Notes
-
WB 1:300-5000
ELISA 1:500-1000
IHC-P 1:200-400
IHC-F 1:100-500
IF(IHC-P) 1:50-200
IF(IHC-F) 1:50-200
IF(ICC) 1:50-200 -
Restrictions
- For Research Use only
-
-
-
Format
- Liquid
-
Concentration
- 1 μg/μL
-
Buffer
- 0.01M TBS( pH 7.4) with 1 % BSA, 0.02 % Proclin300 and 50 % Glycerol.
-
Preservative
- ProClin
-
Precaution of Use
- This product contains ProClin: a POISONOUS AND HAZARDOUS SUBSTANCE, which should be handled by trained staff only.
-
Storage
- 4 °C,-20 °C
-
Storage Comment
- Shipped at 4°C. Store at -20°C for one year. Avoid repeated freeze/thaw cycles.
-
Expiry Date
- 12 months
-
-
- SCD (Stearoyl-CoA Desaturase (Delta-9-Desaturase) (SCD))
-
Alternative Name
- SCD1
-
Background
-
Synonyms: SCD1, FADS5, SCDOS, MSTP008, Acyl-CoA desaturase, Delta(9)-desaturase, Delta-9 desaturase, Fatty acid desaturase, Stearoyl-CoA desaturase, SCD
Background: Terminal component of the liver microsomal stearyl-CoA desaturase system, that utilizes O(2) and electrons from reduced cytochrome b5 to catalyze the insertion of a double bond into a spectrum of fatty acyl-CoA substrates including palmitoyl-CoA and stearoyl-CoA.
-
Gene ID
- 6319
-
UniProt
- O00767
-
Pathways
- Brown Fat Cell Differentiation
Target
-