Phone:
+1 877 302 8632
Fax:
+1 888 205 9894 (Toll-free)
E-Mail:
orders@antibodies-online.com

CHRM4 antibody (AA 330-340)

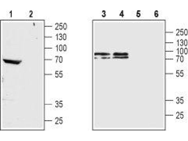
The Rabbit Polyclonal anti-CHRM4 antibody (ABIN7043064) specifically detects CHRM4 in WB, IHC, IF and IC. The antibody is reactive with Rat samples.
Catalog No. ABIN7043064
$977.85
Plus shipping costs $50.00
Shipping to: United States
Delivery in 11 to 14 Business Days

Quick Overview for CHRM4 antibody (AA 330-340) (ABIN7043064)

Target

See all CHRM4 Antibodies
CHRM4 (Cholinergic Receptor, Muscarinic 4 (CHRM4))

Reactivity

  • 45
  • 18
  • 17
  • 2
  • 1
  • 1
  • 1
  • 1
  • 1
Rat

Host

  • 43
  • 2
Rabbit

Clonality

  • 43
  • 2
Polyclonal

Conjugate

  • 18
  • 3
  • 2
  • 1
  • 1
  • 1
  • 1
  • 1
  • 1
  • 1
  • 1
  • 1
  • 1
  • 1
  • 1
  • 1
  • 1
  • 1
  • 1
  • 1
  • 1
  • 1
  • 1
  • 1
  • 1
This CHRM4 antibody is un-conjugated

Application

  • 17
  • 13
  • 13
  • 13
  • 12
  • 7
  • 7
  • 5
  • 5
  • 4
  • 3
Western Blotting (WB), Immunohistochemistry (IHC), Immunofluorescence (IF), Immunochromatography (IC)
  • Binding Specificity

    • 16
    • 3
    • 2
    • 2
    • 2
    • 1
    • 1
    • 1
    • 1
    • 1
    • 1
    AA 330-340

    Purpose

    A Rabbit Polyclonal Antibody to Muscarinic Acetylcholine Receptor M4

    Specificity

    3rd intracellular loop

    Cross-Reactivity

    Human, Mouse, Rat

    Predicted Reactivity

    Mouse - identical, human - 9,12 amino acid residues identical

    Characteristics

    Anti-CHRM4 Antibody (ABIN7043064, ABIN7044584 and ABIN7044585) is a highly specific antibody directed against an epitope of the rat M4 muscarinic receptor. The antibody can be used in western blot, immunocytochemistry, and immunohistochemistry applications. It has been designed to recognize M4 from rat, mouse, and human samples.

    Purification

    Affinity purified on immobilized antigen.

    Immunogen

    Immunogen: Synthetic peptide

    Immunogen Sequence: (C) RTLNPASKWSK, corresponding to amino acid residues 330-340 of rat M4 muscarinic receptor

    Isotype

    IgG
  • Application Notes

    Antigen preadsorption control: 1 μg peptide per 1 μg antibody

    Application Dilutions Immunohistochemistry paraffin embedded sections ihc: N/A

    Application Dilutions Western blot wb: 1:200

    Comment

    Negative Control: (ABIN7235125)

    Blocking Peptide: (ABIN7235125)

    Restrictions

    For Research Use only
  • Format

    Lyophilized

    Reconstitution

    0.2 mL double distilled water (DDW).

    Concentration

    1 mg/mL

    Buffer

    PBS pH 7.4

    Storage

    4 °C,-20 °C

    Storage Comment

    Storage before reconstitution: The antibody ships as a lyophilized powder at room temperature. Upon arrival, it should be stored at -20°C.

    Storage after reconstitution: The reconstituted solution can be stored at 4°C for up to 1 week. For longer periods, small aliquots should be stored at -20°C. Avoid multiple freezing and thawing. Centrifuge all antibody preparations before use (10000 x g 5 min).

  • Target

    CHRM4 (Cholinergic Receptor, Muscarinic 4 (CHRM4))

    Alternative Name

    CHRM4

    Background

    Muscarinic acetylcholine receptor M4, Cholinergic receptor muscarinic 4, mAChR M4, HM4,Acetylcholine is a neurotransmitter which activates two different groups of receptors: nicotinic acetylcholine receptors (nAChR) which belong to the superfamily of ligand-gated ion channels, and muscarinic acetylcholine receptors (mAChR) which belong to the G-protein coupled receptor (GPCR) superfamily. There are five separate gene products (M1-M5) that, assembled, make up this GPCR subfamily.Generally, M1, M3 and M5 muscarinic receptors are known to activate phospholipase C (PLC) via Gq coupling, while M2 and M4 muscarinic receptors couple to Gi/o, and therefore inhibit adenylate cyclase1. This classification is however not clear cut. mAChR can activate adenylate cyclase by coupling to Gs2. In addition, M2 and M4 muscarinic receptors, when overexpressed, can also activate adenylate cyclase in some systems3-5.Evidence suggests that muscarinic receptors can form homo- or heterodimers and that the dimer formed can subsequently affect the downstream signaling pathways1.Muscarinic receptors have been shown to regulate voltage-gated Ca2+ channels, namely CaV2.16, as well acid sensing ion channels (ASIC)7. Generally speaking, the actions of muscarinic receptors on ion channels can be either via 2nd messengers or through their direct action on the channels once activated8.Furthermore, muscarinic receptors can also promote endocytosis of ion channels (KV1.2 for example) by recruiting tyrosine kinases that phosphorylate the channel in order to terminate its activity9. Other diverse and important functions of muscarinic receptors include cell growth, survival and physiology1.Expression of muscarinic receptors is found in neurons in the central nervous system as well as in the peripheral nervous system. These receptors are also expressed in cardiac and smooth muscle, lung, intestine, ovary and urothelium1,10. M4 muscarinic receptor is mostly expressed in the striatum where it colocalizes with D1 dopamine receptors11.Malfunction of M4 muscarinic receptor is associated with a number of psychological and neurodegenerative diseases like Schizophrenia, Alzheimer's and Parkinson's diseases12.

    Alternative names: M4 Muscarinic Receptor, CHRM4, Muscarinic acetylcholine receptor M4, Cholinergic receptor muscarinic 4, mAChR M4, HM4

    Gene ID

    25111

    NCBI Accession

    NM_000741

    UniProt

    P08485

    Pathways

    cAMP Metabolic Process, Inositol Metabolic Process, Synaptic Membrane
You are here:
Chat with us!