AZI2 antibody
Quick Overview for AZI2 antibody (ABIN7072856)
Target
See all AZI2 AntibodiesReactivity
Host
Clonality
Conjugate
Application
-
-
Cross-Reactivity
- Rat
-
Purification
- Affinity purification
-
Immunogen
- Recombinantproteincorresponding to Mouse AZI2
-
-
-
-
Application Notes
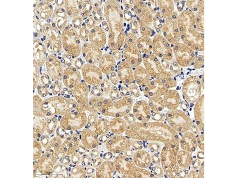
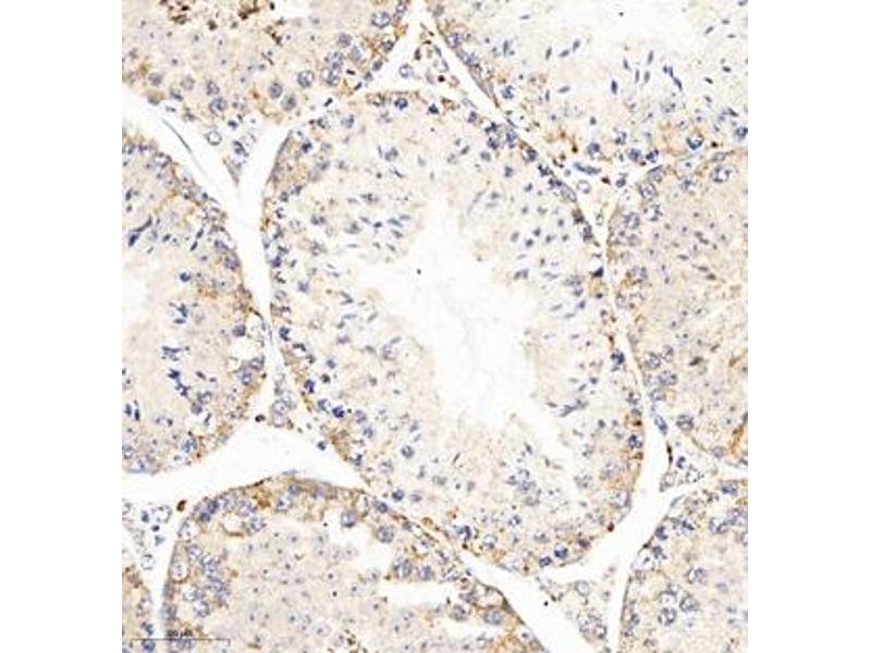
- IHC/IF (M,R) 1:400-1:1300
-
Restrictions
- For Research Use only
-
-
-
Format
- Liquid
-
Buffer
- PBS, pH 7.4, 0.02 % sodium azide
-
Preservative
- Sodium azide
-
Precaution of Use
- This product contains Sodium azide: a POISONOUS AND HAZARDOUS SUBSTANCE which should be handled by trained staff only.
-
Storage
- -20 °C
-
-
- AZI2 (5-Azacytidine Induced 2 (AZI2))
-
Alternative Name
- AZI2
-
Background
- AZI2, also known as NAP1, is a TNF receptor (TNFR)-associated factor family member-associated NF-κB activator-binding kinase 1-binding protein that regulates the production of IFNs. It is an adapter protein which binds TBK1 and IKBKE playing a role in antiviral innate immunity.
-
Gene ID
- 27215
-
NCBI Accession
- NP_001041611
-
UniProt
- Q9QYP6
Target
-