Phone:
+1 877 302 8632
Fax:
+1 888 205 9894 (Toll-free)
E-Mail:
orders@antibodies-online.com

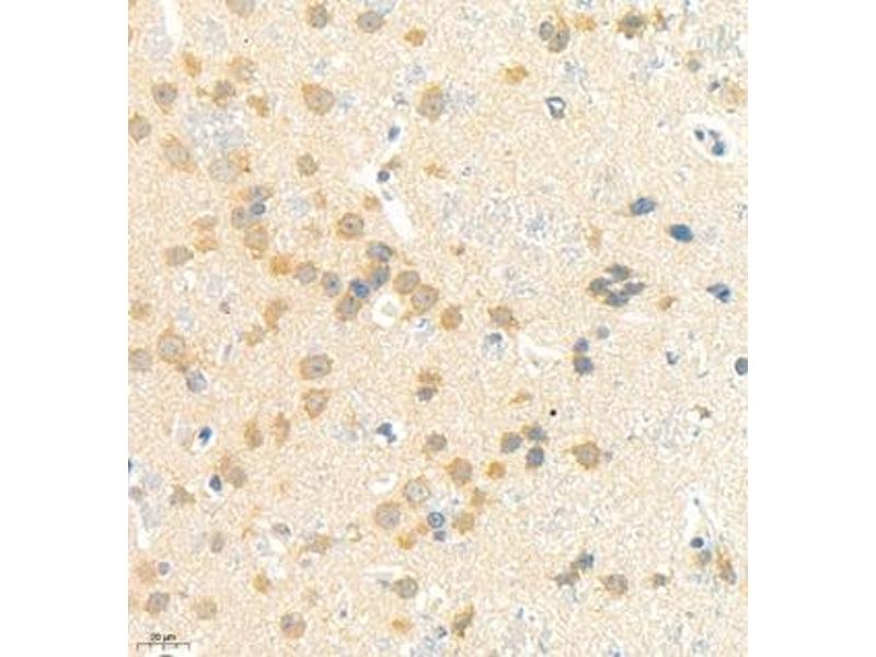
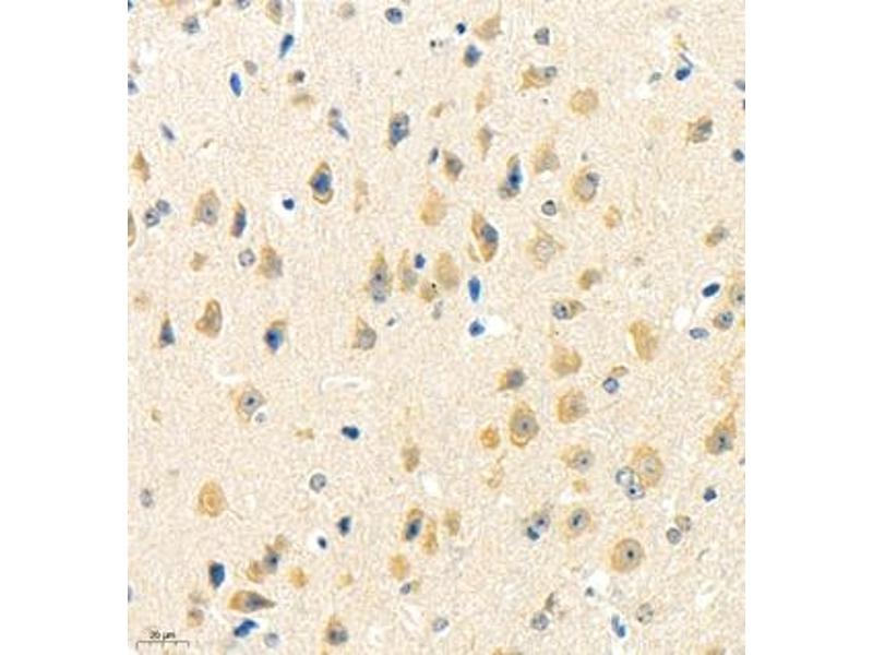
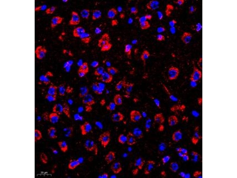
Cdc25 antibody

The Rabbit Polyclonal anti-Cdc25 antibody (ABIN7073422) specifically detects Cdc25 in IHC and IF. The antibody is reactive with Mouse and Rat samples.
Catalog No. ABIN7073422
$341.54
Plus shipping costs $50.00
100 μL
Shipping to: United States
Delivery in 15 to 22 Business Days

Quick Overview for Cdc25 antibody (ABIN7073422)

Target

Cdc25 (CDC25) (Cell Division Cycle 25 (CDC25))

Reactivity

Mouse, Rat

Host

  • 3
  • 1
Rabbit

Clonality

  • 3
  • 1
Polyclonal

Conjugate

  • 4
This Cdc25 antibody is un-conjugated

Application

  • 4
  • 4
  • 3
  • 2
  • 1
Immunohistochemistry (IHC), Immunofluorescence (IF)
  • Cross-Reactivity

    Rat

    Purification

    Affinity purification

    Immunogen

    Recombinant protein corresponding to Mouse CDC25
  • Application Notes

    IHC/IF (M,R) 1:2000-1:4000/1:1000-1:3000

    Restrictions

    For Research Use only
  • Format

    Liquid

    Buffer

    PBS, pH 7.4, 0.02 % sodium azide

    Preservative

    Sodium azide

    Precaution of Use

    This product contains Sodium azide: a POISONOUS AND HAZARDOUS SUBSTANCE which should be handled by trained staff only.

    Storage

    -20 °C
  • Target

    Cdc25 (CDC25) (Cell Division Cycle 25 (CDC25))

    Alternative Name

    CDC25

    Background

    The protein encoded by this gene is a guanine nucleotide exchange factor (GEF) similar to the Saccharomyces cerevisiae CDC25 gene product. Functional analysis has demonstrated that this protein stimulates the dissociation of GDP from RAS protein. The studies of the similar gene in mouse suggested that the Ras-GEF activity of this protein in brain can be activated by Ca2+ influx, muscarinic receptors, and G protein beta-gamma subunit.

    Gene ID

    19417

    NCBI Accession

    NP_035375

    UniProt

    P27671
You are here:
Chat with us!