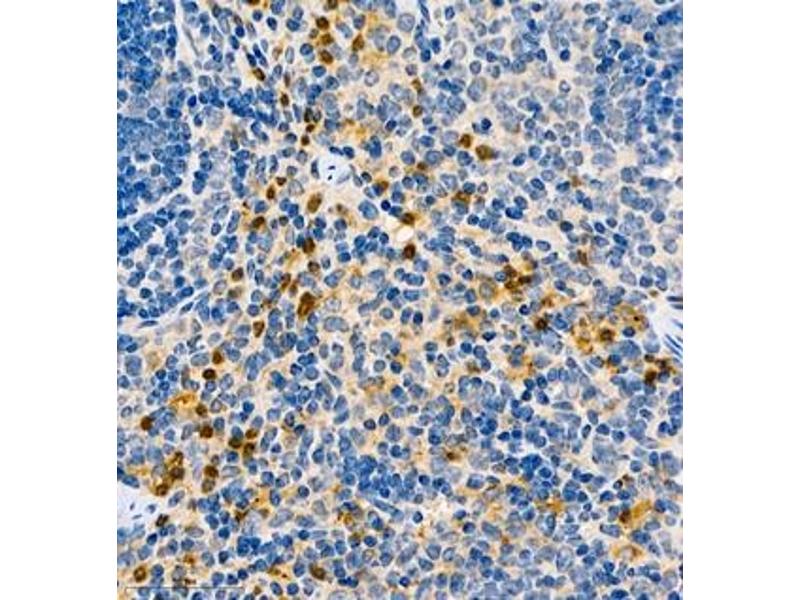
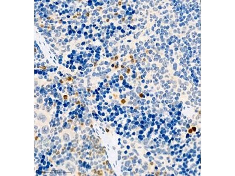
CCL3
Reactivity: Rat
ELISA, IHC (p)
Host: Rabbit
Polyclonal
unconjugated
Application Notes
IHC/IF (M,R) 1:1000-1:2000
Restrictions
For Research Use only
Format
Liquid
Buffer
PBS, pH 7.4, 0.02 % sodium azide
Preservative
Sodium azide
Precaution of Use
This product contains Sodium azide: a POISONOUS AND HAZARDOUS SUBSTANCE which should be handled by trained staff only.
Storage
-20 °C
Target
CCL3
(Chemokine (C-C Motif) Ligand 3 (CCL3))
Alternative Name
Macrophage Inflammatory Protein 1 alpha/CCL3
Background
The MIP-1 alpha is a monokine with inflammatory, pyrogenic and chemokinetic properties. Has a potent chemotactic activity for eosinophils. Binding to a high-affinity receptor activates calcium release in neutrophils.MIP-1 proteins have been reported to have multiple effects on hematopoietic precursor cells and MIP-1 alpha has been identified as a stem cell inhibitory factor that can inhibit the proliferation of hematopoietic stem cells in vitro as well as in vivo. The functional receptor for MIP-1 alpha has been identified as CCR1 and CCR5.