Phone:
+1 877 302 8632
Fax:
+1 888 205 9894 (Toll-free)
E-Mail:
orders@antibodies-online.com

CLCA1 antibody

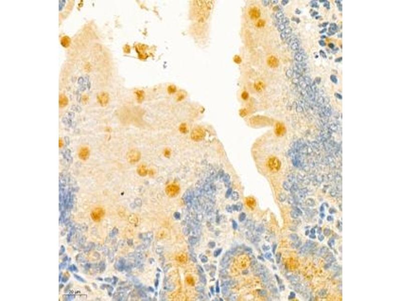
The Rabbit Polyclonal anti-CLCA1 antibody is suitable to detect CLCA1 in samples from Mouse and Rat. It has been validated for IHC and IF.
Catalog No. ABIN7073472
$341.54
Plus shipping costs $50.00
100 μL
Shipping to: United States
Delivery in 15 to 22 Business Days

Quick Overview for CLCA1 antibody (ABIN7073472)

Target

See all CLCA1 Antibodies
CLCA1 (Chloride Channel Accessory 1 (CLCA1))

Reactivity

  • 24
  • 3
  • 2
Mouse, Rat

Host

  • 15
  • 7
  • 2
Rabbit

Clonality

  • 17
  • 7
Polyclonal

Conjugate

  • 21
  • 1
  • 1
  • 1
This CLCA1 antibody is un-conjugated

Application

  • 19
  • 12
  • 11
  • 6
  • 5
  • 4
  • 4
  • 2
  • 1
  • 1
Immunohistochemistry (IHC), Immunofluorescence (IF)
  • Cross-Reactivity

    Rat

    Purification

    Affinity purification

    Immunogen

    Recombinant protein corresponding to Mouse CLCA1
  • Application Notes

    IHC/IF (M,R) 1:700-1:1400

    Restrictions

    For Research Use only
  • Format

    Liquid

    Buffer

    PBS, pH 7.4, 0.02 % sodium azide

    Preservative

    Sodium azide

    Precaution of Use

    This product contains Sodium azide: a POISONOUS AND HAZARDOUS SUBSTANCE which should be handled by trained staff only.

    Storage

    -20 °C
  • Target

    CLCA1 (Chloride Channel Accessory 1 (CLCA1))

    Alternative Name

    CLCA1

    Background

    This gene encodes a member of the calcium sensitive chloride conductance protein family. To date, all members of this gene family map to the same region on chromosome 1p31-p22 and share a high degree of homology in size, sequence, and predicted structure, but differ significantly in their tissue distributions. The encoded protein is expressed as a precursor protein that is processed into two cell-surface-associated subunits, although the site at which the precursor is cleaved has not been precisely determined. The encoded protein may be involved in mediating calcium-activated chloride conductance in the intestine.

    Gene ID

    23844

    NCBI Accession

    NP_059502

    UniProt

    Q9D7Z6
You are here:
Chat with us!