DDX19B antibody
Quick Overview for DDX19B antibody (ABIN7073694)
Target
See all DDX19B AntibodiesReactivity
Host
Clonality
Conjugate
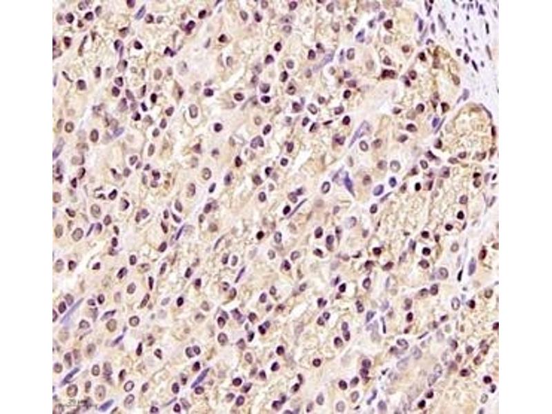
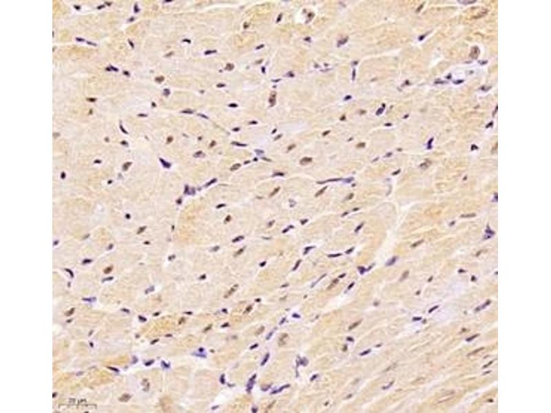
Application
-
-
Cross-Reactivity
- Mouse, Rat
-
Purification
- Affinity purification
-
Immunogen
- KLH conjugated Synthetic peptide corresponding to Human DDX19B
-
-
-
-
Application Notes
- WB (H,M) 1:800-1:1600, IHC/IF (H,M,R) 1:1000-1:4000/1:650-1:1300
-
Restrictions
- For Research Use only
-
-
-
Format
- Liquid
-
Buffer
- PBS, pH 7.4, 0.02 % sodium azide
-
Preservative
- Sodium azide
-
Precaution of Use
- This product contains Sodium azide: a POISONOUS AND HAZARDOUS SUBSTANCE which should be handled by trained staff only.
-
Storage
- -20 °C
-
-
- DDX19B (DEAD (Asp-Glu-Ala-As) Box Polypeptide 19B (DDX19B))
-
Alternative Name
- DDX19B
-
Background
- DEAD box proteins, characterized by the conserved motif Asp-Glu-Ala-Asp (DEAD), are putative RNA helicases. They are implicated in a number of cellular processes involving alteration of RNA secondary structure such as translation initiation, nuclear and mitochondrial splicing, and ribosome and spliceosome assembly. This gene encodes a DEAD box protein, which exhibits RNA-dependent ATPase and ATP-dependent RNA-unwinding activities. This protein is recruited to the cytoplasmic fibrils of the nuclear pore complex, where it participates in the export of mRNA from the nucleus. Multiple alternatively spliced transcript variants encoding different isoforms have been found for this gene.
-
Molecular Weight
- 70 kDa
-
Gene ID
- 11269
-
NCBI Accession
- NP_001014449
-
UniProt
- Q9UMR2
Target
-