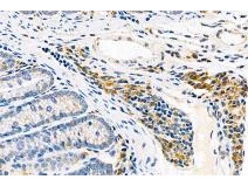
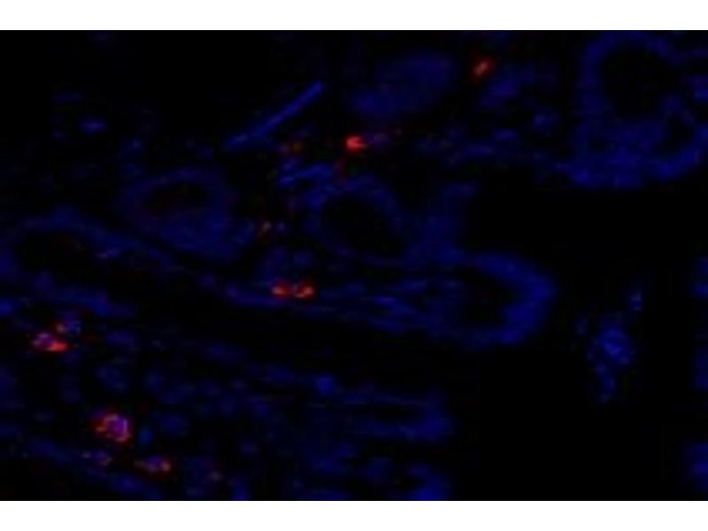
FAM135B antibody
Quick Overview for FAM135B antibody (ABIN7073910)
Target
Reactivity
Host
Clonality
Conjugate
Application
-
-
Cross-Reactivity
- Rat
-
Purification
- Affinity purification
-
Immunogen
- Recombinant protein corresponding to Mouse FAM135B
-
-
-
-
Application Notes
- IHC/IF (M,R) 1:500-1:1000/1:500-1:1000
-
Restrictions
- For Research Use only
-
-
-
Format
- Liquid
-
Buffer
- PBS, pH 7.4, 0.02 % sodium azide
-
Preservative
- Sodium azide
-
Precaution of Use
- This product contains Sodium azide: a POISONOUS AND HAZARDOUS SUBSTANCE which should be handled by trained staff only.
-
Storage
- -20 °C
-
-
- FAM135B (Family with Sequence Similarity 135, Member B (FAM135B))
-
Alternative Name
- FAM135B
-
Background
- FAM135B gene product has been provisionally designated FAM135B pending further characterization.This gene ontology annotations related to this gene include cellular lipid metabolic process.
-
Gene ID
- 70363
-
NCBI Accession
- NP_808487
-
UniProt
- Q9DAI6
Target
-