×
For best experience we recommend to activate Javascript in your browser.
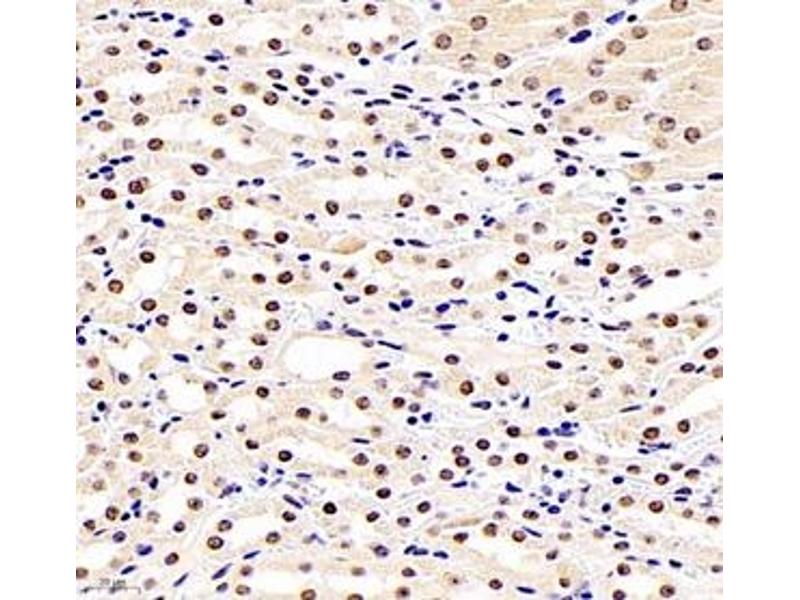
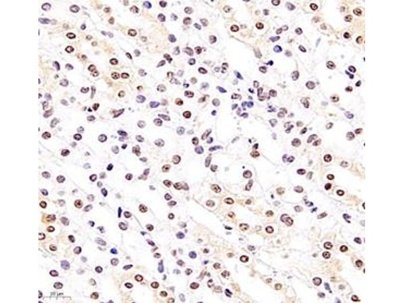
GTF3C3 antibody
The Rabbit Polyclonal anti-GTF3C3 antibody is suitable to detect GTF3C3 in samples from Human, Mouse and Rat. It has been validated for WB, IHC and IF.
Catalog No. ABIN7074039
$341.54
Plus shipping costs $50.00
Delivery in 15 to 22 Business Days
Quick Overview for GTF3C3 antibody (ABIN7074039)
Target
See all GTF3C3 Antibodies
GTF3C3
(General Transcription Factor IIIC, Polypeptide 3, 102kDa (GTF3C3))
Reactivity
All reactivities for GTF3C3 antibodies
Human, Mouse, Rat
Host
All hosts for GTF3C3 antibodies
Rabbit
Clonality
All clonalities for GTF3C3 antibodies
Polyclonal
Conjugate
All conjugates for GTF3C3 antibodies
This GTF3C3 antibody is un-conjugated
Application
All applications for GTF3C3 antibodies
Western Blotting (WB), Immunohistochemistry (IHC), Immunofluorescence (IF)
Product Details anti-GTF3C3 Antibody
(hide)
Cross-Reactivity
Mouse, Rat
Purification
Affinity purification
Immunogen
Recombinant protein corresponding to Human gtf3c3
Alternatives
(show)
Application Details
(hide)
Application Notes
WB (H,M,R) 1:1000-1:2000, IHC/IF (M,R) 1:2000-1:4000/1:600-1:2000
Restrictions
For Research Use only
Handling
(hide)
Format
Liquid
Buffer
PBS, pH 7.4, 0.02 % sodium azide
Preservative
Sodium azide
Precaution of Use
This product contains Sodium azide: a POISONOUS AND HAZARDOUS SUBSTANCE which should be handled by trained staff only.
Storage
-20 °C
Target Details for GTF3C3
(hide)
Target
GTF3C3
(General Transcription Factor IIIC, Polypeptide 3, 102kDa (GTF3C3))
Alternative Name
gtf3c3
Background
The protein encoded by this gene is part of the TFIIIC2 complex, which binds to the promoters of small nuclear and cytoplasmic RNA genes in order to recruit RNA polymerase III. The TFIIIC2 complex is composed of six subunits. Two transcript variants encoding different isoforms have been found for this gene.
Molecular Weight
101 kDa
Gene ID
9330
NCBI Accession
NP_001193703
UniProt
Q9Y5Q9
Recently viewed
(hide)
You are here:
Homepage
anti-GTF3C3 antibody (ABIN7074039)
Chat with us , powered by LiveChat