Phone:
+1 877 302 8632
Fax:
+1 888 205 9894 (Toll-free)
E-Mail:
orders@antibodies-online.com

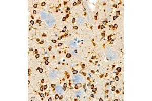
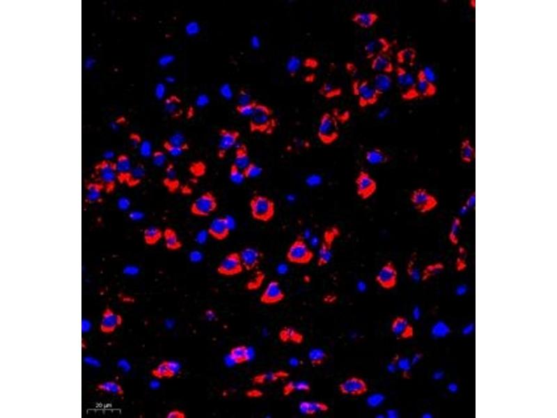
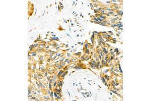
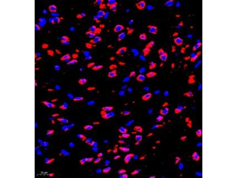
HIF Prolyl Hydroxylase antibody

This Rabbit Polyclonal antibody specifically detects HIF Prolyl Hydroxylase in IHC and IF. It exhibits reactivity toward Mouse, Human and Rat.
Catalog No. ABIN7074215
$341.54
Plus shipping costs $50.00
100 μL
Shipping to: United States
Delivery in 15 to 22 Business Days

Quick Overview for HIF Prolyl Hydroxylase antibody (ABIN7074215)

Target

HIF Prolyl Hydroxylase (HPH)

Reactivity

Mouse, Human, Rat

Host

  • 24
Rabbit

Clonality

  • 15
  • 9
Polyclonal

Conjugate

  • 2
  • 1
  • 1
  • 1
  • 1
  • 1
  • 1
  • 1
  • 1
  • 1
  • 1
  • 1
  • 1
  • 1
  • 1
  • 1
  • 1
  • 1
  • 1
  • 1
  • 1
  • 1
  • 1
This HIF Prolyl Hydroxylase antibody is un-conjugated

Application

  • 24
  • 13
  • 13
  • 9
  • 9
  • 9
  • 3
  • 3
  • 3
  • 1
Immunohistochemistry (IHC), Immunofluorescence (IF)
You are here:
Chat with us!