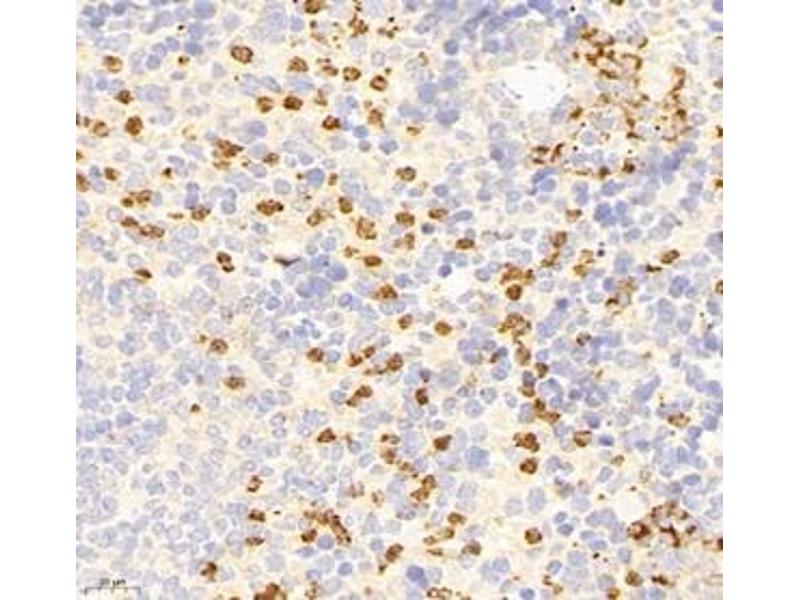
IL23R antibody
Quick Overview for IL23R antibody (ABIN7074355)
Target
See all IL23R AntibodiesReactivity
Host
Clonality
Conjugate
Application
-
-
Cross-Reactivity
- Rat
-
Purification
- Affinity purification
-
Immunogen
- KLH conjugated Synthetic peptide corresponding to Mouse IL-23R
-
-
-
-
Application Notes
- IHC/IF (M,R) 1:200-1:400/1:100-1:400
-
Restrictions
- For Research Use only
-
-
-
Format
- Liquid
-
Buffer
- PBS, pH 7.4, 0.02 % sodium azide
-
Preservative
- Sodium azide
-
Precaution of Use
- This product contains Sodium azide: a POISONOUS AND HAZARDOUS SUBSTANCE which should be handled by trained staff only.
-
Storage
- -20 °C
-
-
- IL23R (Interleukin 23 Receptor (IL23R))
-
Alternative Name
- IL-23R
-
Background
- Interleukin-23 receptor is a type I cytokine receptor which is a subunit of the receptor for IL-23. This protein pairs with the receptor molecule IL-12Rβ1 (IL12RB1), together forming the IL-23 receptor complex, and both are required for IL-23 signaling. This protein associates constitutively with Janus kinase 2 (JAK2), and also binds to transcription activator STAT3 in a ligand-dependent manner.
-
Gene ID
- 209590
-
NCBI Accession
- NP_653131
-
UniProt
- Q8K4B4
-
Pathways
- Regulation of Leukocyte Mediated Immunity, Positive Regulation of Immune Effector Process, Activated T Cell Proliferation
Target
-