Phone:
+1 877 302 8632
Fax:
+1 888 205 9894 (Toll-free)
E-Mail:
orders@antibodies-online.com

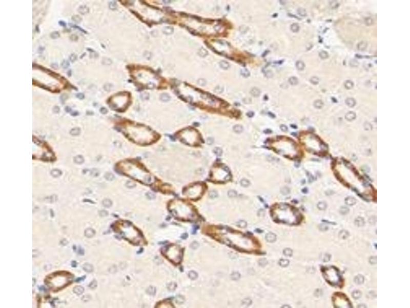
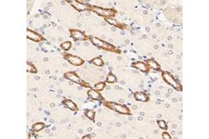
KLHL9 antibody

The Rabbit Polyclonal anti-KLHL9 antibody (ABIN7074403) specifically detects KLHL9 in IHC and IF. The antibody is reactive with Mouse samples.
Catalog No. ABIN7074403
$341.54
Plus shipping costs $50.00
100 μL
Shipping to: United States
Delivery in 15 to 22 Business Days

Quick Overview for KLHL9 antibody (ABIN7074403)

Target

See all KLHL9 Antibodies
KLHL9 (Kelch-Like 9 (KLHL9))

Reactivity

  • 34
  • 9
  • 2
  • 2
  • 2
  • 2
  • 2
  • 1
  • 1
  • 1
  • 1
  • 1
  • 1
Mouse

Host

  • 34
Rabbit

Clonality

  • 34
Polyclonal

Conjugate

  • 9
  • 2
  • 2
  • 2
  • 1
  • 1
  • 1
  • 1
  • 1
  • 1
  • 1
  • 1
  • 1
  • 1
  • 1
  • 1
  • 1
  • 1
  • 1
  • 1
  • 1
  • 1
  • 1
This KLHL9 antibody is un-conjugated

Application

  • 13
  • 13
  • 13
  • 11
  • 8
  • 8
  • 4
  • 3
Immunohistochemistry (IHC), Immunofluorescence (IF)
  • Purification

    Affinity purification

    Immunogen

    Recombinant protein corresponding to Mouse KLHL9
  • Application Notes

    IHC/IF (M) 1:1000-1:2000

    Restrictions

    For Research Use only
  • Format

    Liquid

    Buffer

    PBS, pH 7.4, 0.02 % sodium azide

    Preservative

    Sodium azide

    Precaution of Use

    This product contains Sodium azide: a POISONOUS AND HAZARDOUS SUBSTANCE which should be handled by trained staff only.

    Storage

    -20 °C
  • Target

    KLHL9 (Kelch-Like 9 (KLHL9))

    Alternative Name

    KLHL9

    Background

    This gene encodes a protein that belongs to the kelch repeat-containing family, and contains an N-terminal BTB/POZ domain, a BACK domain and six C-terminal kelch repeats. The encoded protein is a component of a complex with cullin 3-based E3 ligase, which plays a role in mitosis. This protein complex is a cell cycle regulator, and functions in the organization and integrity of the spindle midzone in anaphase and the completion of cytokinesis. The complex is required for the removal of the chromosomal passenger protein aurora B from mitotic chromosomes.

    Gene ID

    242521

    UniProt

    Q6ZPT1
You are here:
Chat with us!