Phone:
+1 877 302 8632
Fax:
+1 888 205 9894 (Toll-free)
E-Mail:
orders@antibodies-online.com

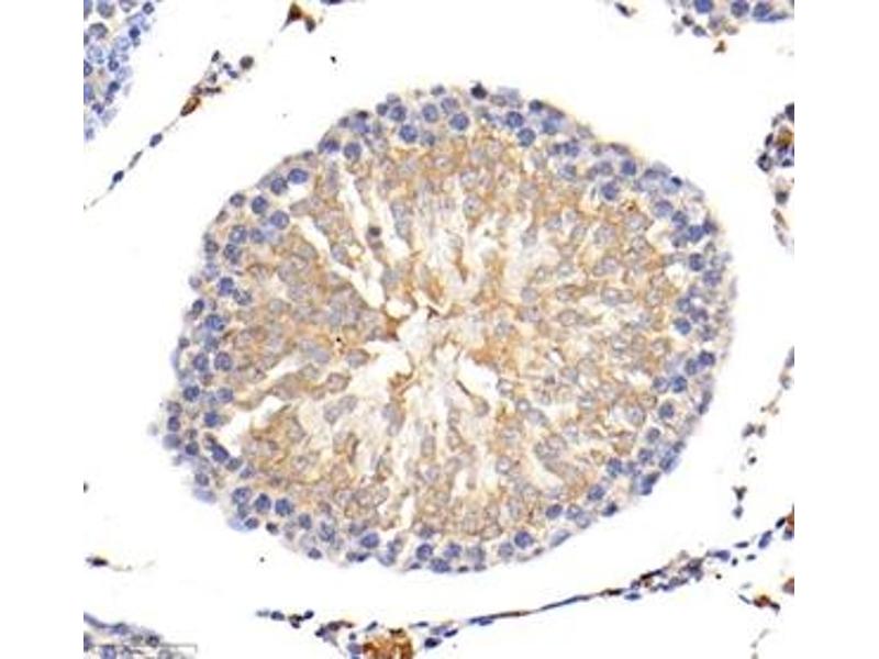
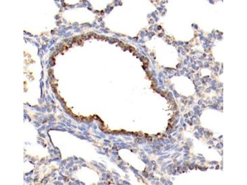
MLF1 antibody

The Rabbit Polyclonal anti-MLF1 antibody (ABIN7074712) specifically detects MLF1 in WB, IHC and IF. The antibody is reactive with Mouse and Rat samples.
Catalog No. ABIN7074712
$341.54
Plus shipping costs $50.00
100 μL
Shipping to: United States
Delivery in 15 to 22 Business Days

Quick Overview for MLF1 antibody (ABIN7074712)

Target

See all MLF1 Antibodies
MLF1 (Myeloid Leukemia Factor 1 (MLF1))

Reactivity

  • 65
  • 44
  • 19
  • 1
  • 1
Mouse, Rat

Host

  • 61
  • 5
Rabbit

Clonality

  • 63
  • 3
Polyclonal

Conjugate

  • 35
  • 3
  • 3
  • 3
  • 2
  • 2
  • 1
  • 1
  • 1
  • 1
  • 1
  • 1
  • 1
  • 1
  • 1
  • 1
  • 1
  • 1
  • 1
  • 1
  • 1
  • 1
  • 1
  • 1
This MLF1 antibody is un-conjugated

Application

  • 53
  • 21
  • 20
  • 16
  • 13
  • 7
  • 7
  • 4
  • 3
  • 3
  • 2
Western Blotting (WB), Immunohistochemistry (IHC), Immunofluorescence (IF)
  • Cross-Reactivity

    Rat

    Purification

    Affinity purification

    Immunogen

    Recombinant protein corresponding to Mouse Myeloid leukemia factor 1
  • Application Notes

    WB (M,R) 1:500-1:1000, IHC/IF (M,R) 1:1000-1:3000

    Restrictions

    For Research Use only
  • Format

    Liquid

    Buffer

    PBS, pH 7.4, 0.02 % sodium azide

    Preservative

    Sodium azide

    Precaution of Use

    This product contains Sodium azide: a POISONOUS AND HAZARDOUS SUBSTANCE which should be handled by trained staff only.

    Storage

    -20 °C
  • Target

    MLF1 (Myeloid Leukemia Factor 1 (MLF1))

    Alternative Name

    Myeloid leukemia factor 1

    Background

    Involved in lineage commitment of primary hemopoietic progenitors by restricting erythroid formation and enhancing myeloid formation. Interferes with erythropoietin-induced erythroid terminal differentiation by preventing cells from exiting the cell cycle through suppression of CDKN1B/p27Kip1 levels. Suppresses RFWD2/COP1 activity via CSN3 which activates p53 and induces cell cycle arrest. Binds DNA and affects the expression of a number of genes so may function as a transcription factor in the nucleus.

    Molecular Weight

    31 kDa

    Gene ID

    17349

    NCBI Accession

    NP_034931

    UniProt

    Q9QWV4
You are here:
Chat with us!