Phone:
+1 877 302 8632
Fax:
+1 888 205 9894 (Toll-free)
E-Mail:
orders@antibodies-online.com

NECAB1 antibody

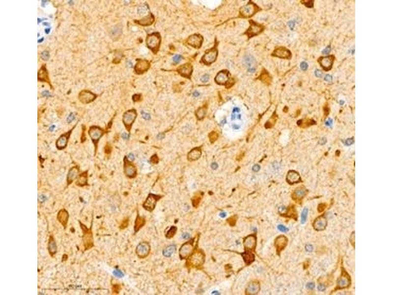
The Rabbit Polyclonal anti-NECAB1 antibody is suitable to detect NECAB1 in samples from Mouse and Rat. It has been validated for WB, IHC and IF.
Catalog No. ABIN7074753
$341.54
Plus shipping costs $50.00
100 μL
Shipping to: United States
Delivery in 15 to 22 Business Days

Quick Overview for NECAB1 antibody (ABIN7074753)

Target

See all NECAB1 Antibodies
NECAB1 (N-terminal EF-Hand Calcium Binding Protein 1 (NECAB1))

Reactivity

  • 27
  • 6
  • 5
  • 3
  • 2
  • 2
  • 1
  • 1
  • 1
Mouse, Rat

Host

  • 20
  • 7
Rabbit

Clonality

  • 22
  • 5
Polyclonal

Conjugate

  • 19
  • 2
  • 2
  • 2
  • 1
  • 1
This NECAB1 antibody is un-conjugated

Application

  • 20
  • 11
  • 4
  • 2
  • 2
Western Blotting (WB), Immunohistochemistry (IHC), Immunofluorescence (IF)
You are here:
Chat with us!