Phone:
+1 877 302 8632
Fax:
+1 888 205 9894 (Toll-free)
E-Mail:
orders@antibodies-online.com

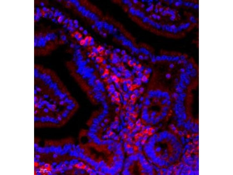
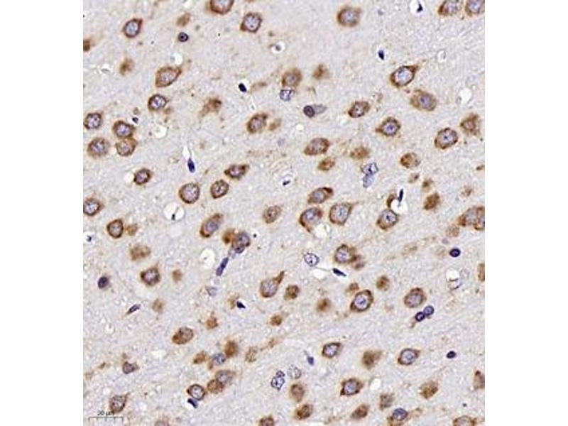
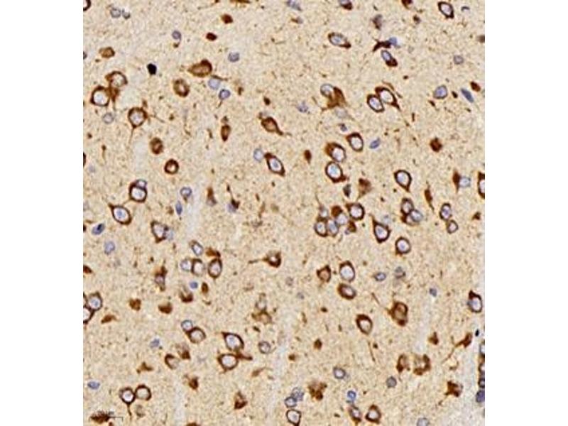
Neurotensin antibody

This Rabbit Polyclonal antibody specifically detects Neurotensin in WB, IHC and IF. It exhibits reactivity toward Human, Rat and Mouse.
Catalog No. ABIN7074827
$341.54
Plus shipping costs $50.00
100 μL
Shipping to: United States
Delivery in 15 to 22 Business Days

Quick Overview for Neurotensin antibody (ABIN7074827)

Target

See all Neurotensin (NTS) Antibodies
Neurotensin (NTS)

Reactivity

  • 53
  • 24
  • 9
  • 1
Human, Rat, Mouse

Host

  • 48
  • 10
Rabbit

Clonality

  • 49
  • 9
Polyclonal

Conjugate

  • 34
  • 3
  • 2
  • 2
  • 1
  • 1
  • 1
  • 1
  • 1
  • 1
  • 1
  • 1
  • 1
  • 1
  • 1
  • 1
  • 1
  • 1
  • 1
  • 1
  • 1
This Neurotensin antibody is un-conjugated

Application

  • 25
  • 17
  • 13
  • 13
  • 12
  • 7
  • 6
  • 4
  • 3
  • 3
  • 3
  • 2
  • 2
Western Blotting (WB), Immunohistochemistry (IHC), Immunofluorescence (IF)
  • Cross-Reactivity

    Human, Rat

    Purification

    Affinity purification

    Immunogen

    KLH conjugated Synthetic peptide corresponding to Mouse Neurotensin
  • Application Notes

    WB (H,M,R) 1:1000, IHC/IF (M,R) 1:400-1:1000/1:500-1:1000

    Restrictions

    For Research Use only
  • Format

    Liquid

    Buffer

    PBS, pH 7.4, 0.02 % sodium azide

    Preservative

    Sodium azide

    Precaution of Use

    This product contains Sodium azide: a POISONOUS AND HAZARDOUS SUBSTANCE which should be handled by trained staff only.

    Storage

    -20 °C
  • Target

    Neurotensin (NTS)

    Alternative Name

    Neurotensin

    Background

    Neurotensin is distributed throughout the central nervous system, with highest levels in the hypothalamus,amygdala and nucleus accumbens. It induces a variety of effects, including analgesia, hypothermia and increased locomotor activity. It is also involved in regulation of dopamine pathways. In the periphery, neurotensin is found in enteroendocrine cells of the small intestine, where it leads to secretion and smooth muscle contraction.

    Molecular Weight

    20 kDa

    Gene ID

    67405

    NCBI Accession

    NP_077755

    UniProt

    Q9D3P9
You are here:
Chat with us!