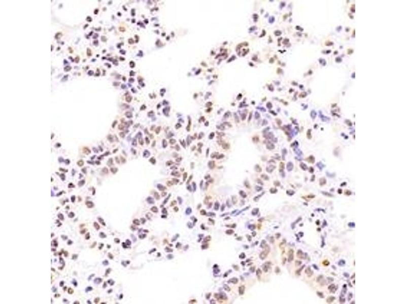
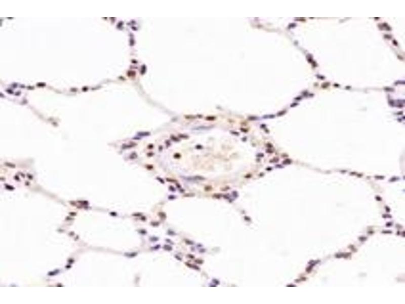
The Rabbit Polyclonal anti-NCAPG2 antibody (ABIN7074856) specifically detects NCAPG2 in IHC and IF.
The antibody is reactive with Mouse and Rat samples.
NCAPG2
Reactivity: Human, Mouse
WB, IF (cc), IF (p)
Host: Rabbit
Polyclonal
AbBy Fluor® 350
Application Notes
IHC/IF (M,R) 1:800-1:1600/1:500-1:1000
Restrictions
For Research Use only
Format
Liquid
Buffer
PBS, pH 7.4, 0.02 % sodium azide
Preservative
Sodium azide
Precaution of Use
This product contains Sodium azide: a POISONOUS AND HAZARDOUS SUBSTANCE which should be handled by trained staff only.
Storage
-20 °C
Target
NCAPG2
(Non-SMC Condensin II Complex, Subunit G2 (NCAPG2))
Alternative Name
NCAPG2
Background
Regulatory subunit of the condensin-2 complex, a complex which establishes mitotic chromosome architecture and is involved in physical rigidity of the chromatid axis. Is required for early embryonic development and is essential for viability and expansion of the inner cell mass (ICM) of the implanting blastocyst.