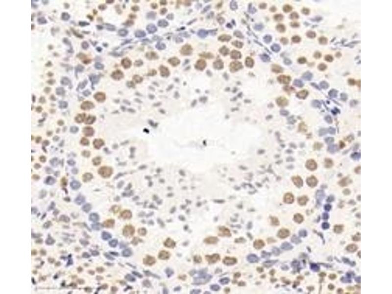
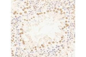
PSIP1 antibody
Quick Overview for PSIP1 antibody (ABIN7074997)
Target
See all PSIP1 AntibodiesReactivity
Host
Clonality
Conjugate
Application
-
-
Cross-Reactivity
- Rat
-
Purification
- Affinity purification
-
Immunogen
- Recombinant protein corresponding to Mouse PSIP1/LEDGF
-
-
-
-
Application Notes
- IHC/IF (M,R) 1:1500-1:3000
-
Restrictions
- For Research Use only
-
-
-
Format
- Liquid
-
Buffer
- PBS, pH 7.4, 0.02 % sodium azide
-
Preservative
- Sodium azide
-
Precaution of Use
- This product contains Sodium azide: a POISONOUS AND HAZARDOUS SUBSTANCE which should be handled by trained staff only.
-
Storage
- -20 °C
-
-
- PSIP1 (PC4 and SFRS1 Interacting Protein 1 (PSIP1))
-
Alternative Name
- PSIP1/LEDGF
-
Background
- Transcriptional coactivator involved in neuroepithelial stem cell differentiation and neurogenesis. Involved in particular in lens epithelial cell gene regulation and stress responses. May play an important role in lens epithelial to fiber cell terminal differentiation. May play a protective role during stress-induced apoptosis. Isoform 2 is a more general and stronger transcriptional coactivator. Isoform 2 may also act as an adapter to coordinate pre-mRNA splicing. Cellular cofactor for lentiviral integration.. This protein has 2 isoforms produced by alternative splicing.
-
Gene ID
- 101739
-
UniProt
- Q99JF8
-
Pathways
- Chromatin Binding, Ribonucleoprotein Complex Subunit Organization
Target
-