PQBP1 antibody
Quick Overview for PQBP1 antibody (ABIN7075126)
Target
See all PQBP1 AntibodiesReactivity
Host
Clonality
Conjugate
Application
-
-
Cross-Reactivity
- Rat
-
Purification
- Affinity purification
-
Immunogen
- Recombinant protein corresponding to Mouse PQBP1
-
-
-
-
Application Notes
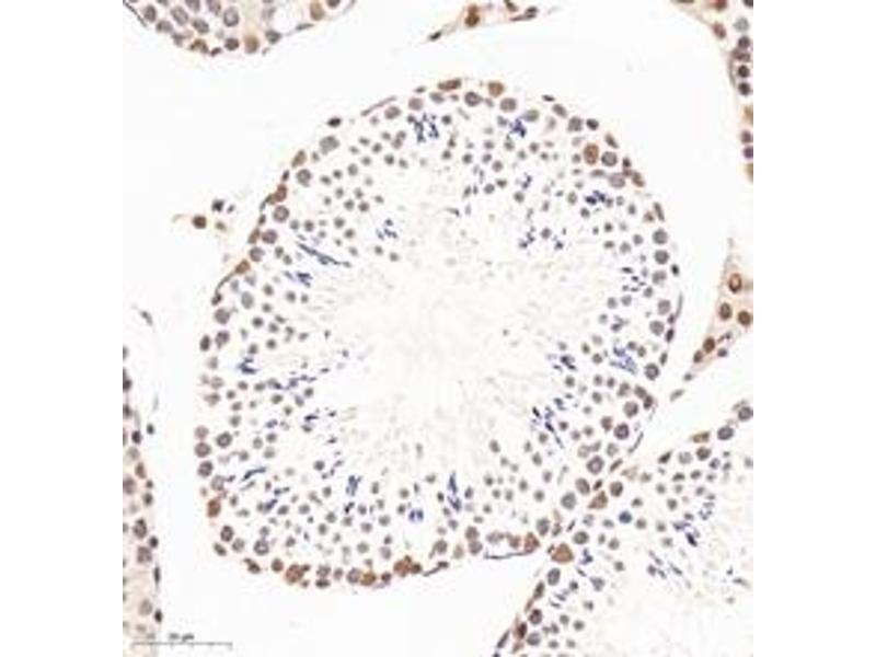
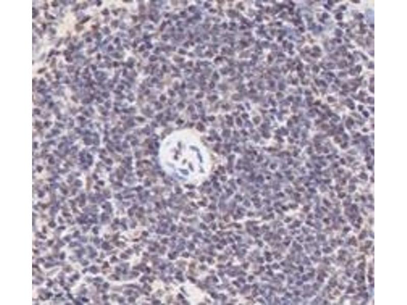
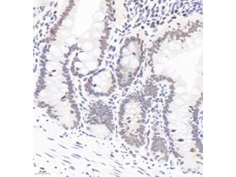
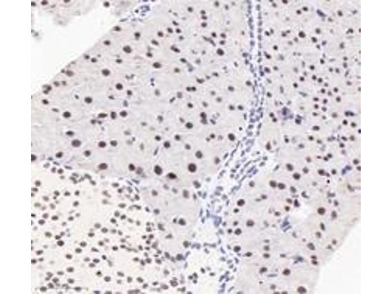
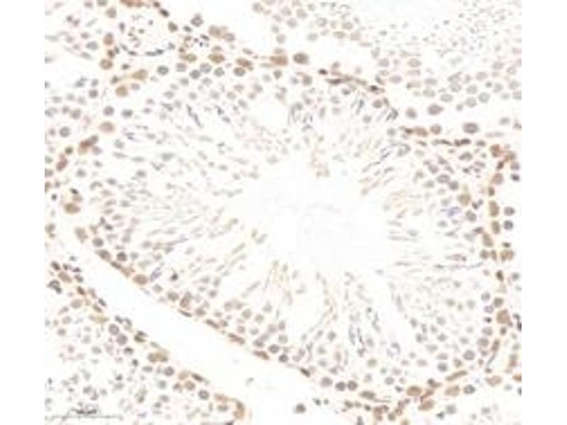
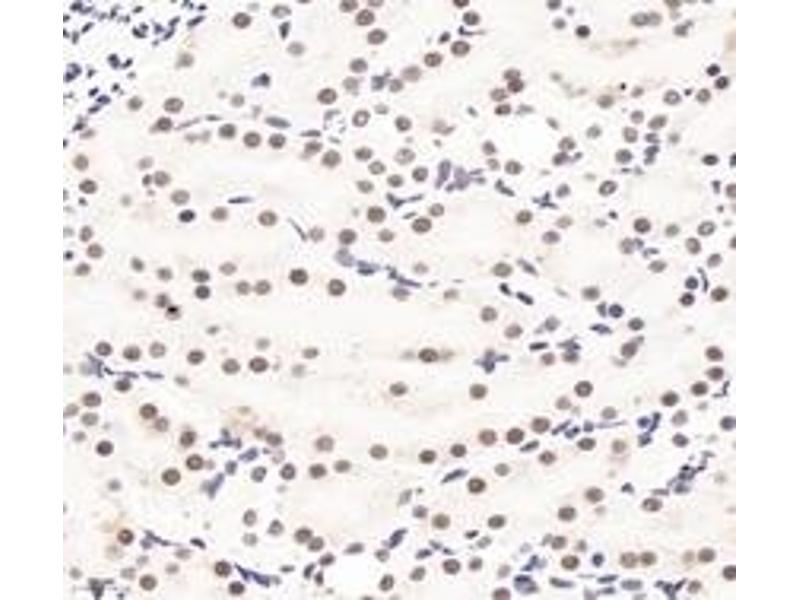
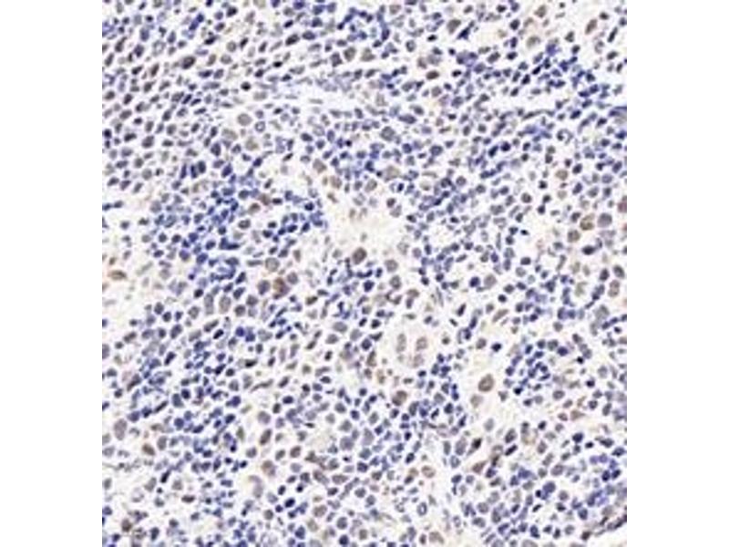
- IHC/IF (M,R) 1:3000-1:6000
-
Restrictions
- For Research Use only
-
-
-
Format
- Liquid
-
Buffer
- PBS, pH 7.4, 0.02 % sodium azide
-
Preservative
- Sodium azide
-
Precaution of Use
- This product contains Sodium azide: a POISONOUS AND HAZARDOUS SUBSTANCE which should be handled by trained staff only.
-
Storage
- -20 °C
-
-
- PQBP1 (Polyglutamine Binding Protein 1 (PQBP1))
-
Alternative Name
- PQBP1
-
Background
- This gene encodes a nuclear polyglutamine-binding protein that is involved with transcription activation. The encoded protein contains a WW domain. Mutations in this gene have been found in patients with Renpenning syndrome 1 and other syndromes with X-linked cognitive disability. Multiple alternatively spliced transcript variants that encode different protein isoforms have been described for this gene.
-
Gene ID
- 54633
-
UniProt
- Q91VJ5
-
Pathways
- Ribonucleoprotein Complex Subunit Organization
Target
-