Phone:
+1 877 302 8632
Fax:
+1 888 205 9894 (Toll-free)
E-Mail:
orders@antibodies-online.com

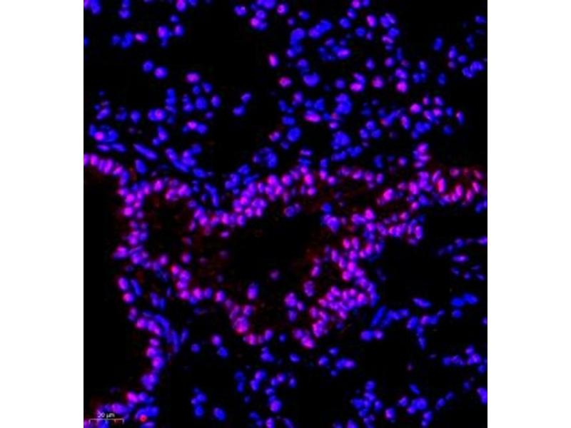
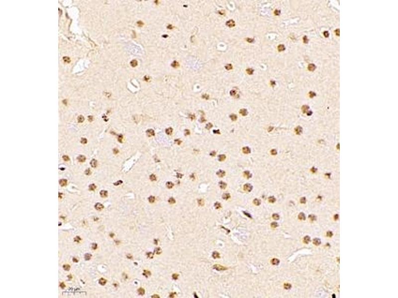
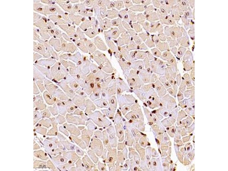
RBAK antibody

The Rabbit Polyclonal anti-RBAK antibody is suitable to detect RBAK in samples from Mouse and Rat. It has been validated for IHC and IF.
Catalog No. ABIN7075383
$341.54
Plus shipping costs $50.00
100 μL
Shipping to: United States
Delivery in 15 to 22 Business Days

Quick Overview for RBAK antibody (ABIN7075383)

Target

See all RBAK Antibodies
RBAK (RB-Associated KRAB Zinc Finger (RBAK))

Reactivity

  • 23
  • 8
  • 5
  • 5
  • 4
  • 4
  • 4
  • 3
  • 3
  • 2
  • 2
Mouse, Rat

Host

  • 21
  • 2
Rabbit

Clonality

  • 21
  • 2
Polyclonal

Conjugate

  • 18
  • 1
  • 1
  • 1
  • 1
  • 1
This RBAK antibody is un-conjugated

Application

  • 23
  • 14
  • 2
  • 1
  • 1
  • 1
  • 1
Immunohistochemistry (IHC), Immunofluorescence (IF)
  • Cross-Reactivity

    Rat

    Purification

    Affinity purification

    Immunogen

    Recombinant protein corresponding to Mouse RB associated KRAB repressor
  • Application Notes

    IHC/IF (M,R) 1:1000-1:4000/1:400-1:800

    Restrictions

    For Research Use only
  • Format

    Liquid

    Buffer

    PBS, pH 7.4, 0.02 % sodium azide

    Preservative

    Sodium azide

    Precaution of Use

    This product contains Sodium azide: a POISONOUS AND HAZARDOUS SUBSTANCE which should be handled by trained staff only.

    Storage

    -20 °C
  • Target

    RBAK (RB-Associated KRAB Zinc Finger (RBAK))

    Alternative Name

    RB associated KRAB repressor

    Background

    This gene encodes a nuclear protein which interacts with the tumor suppressor retinoblastoma 1. The two interacting proteins are thought to act as a transcriptional repressor for promoters which are activated by the E2F1 transcription factor. This protein contains a Kruppel-associated box (KRAB), which is a transcriptional repressor motif. Read-through transcripts that include exons from the downstream gene LOC389458 are expressed from this locus.

    Gene ID

    57782

    NCBI Accession

    NP_001038947

    UniProt

    Q8BQC8
You are here:
Chat with us!