Phone:
+1 877 302 8632
Fax:
+1 888 205 9894 (Toll-free)
E-Mail:
orders@antibodies-online.com

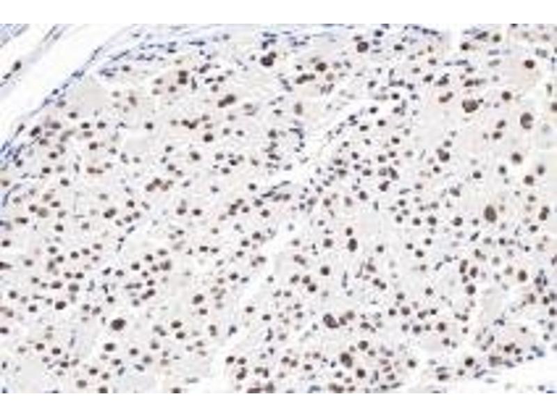
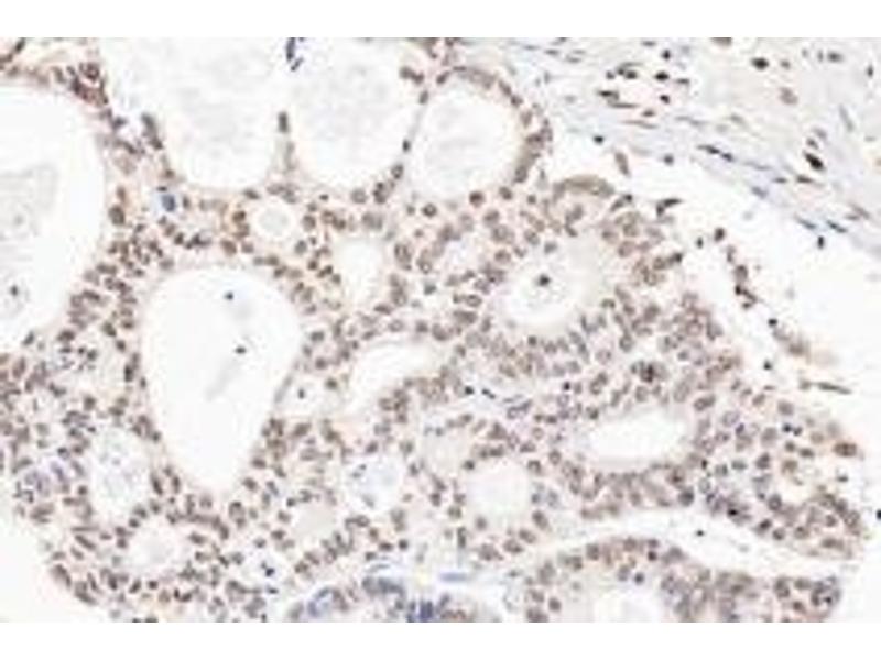
RING1 antibody

The Rabbit Polyclonal anti-RING1 antibody is suitable to detect RING1 in samples from Human, Rat and Mouse. It has been validated for IHC and IF.
Catalog No. ABIN7075467
$341.54
Plus shipping costs $50.00
100 μL
Shipping to: United States
Delivery in 15 to 22 Business Days

Quick Overview for RING1 antibody (ABIN7075467)

Target

See all RING1 Antibodies
RING1 (Ring Finger Protein 1 (RING1))

Reactivity

  • 66
  • 19
  • 18
  • 7
  • 6
  • 6
  • 6
  • 4
  • 4
  • 3
  • 3
  • 3
  • 1
Human, Rat, Mouse

Host

  • 49
  • 20
Rabbit

Clonality

  • 38
  • 31
Polyclonal

Conjugate

  • 41
  • 4
  • 3
  • 3
  • 3
  • 3
  • 3
  • 3
  • 1
  • 1
  • 1
  • 1
  • 1
  • 1
This RING1 antibody is un-conjugated

Application

  • 54
  • 20
  • 16
  • 14
  • 14
  • 4
  • 2
  • 2
  • 2
  • 1
  • 1
  • 1
  • 1
  • 1
Immunohistochemistry (IHC), Immunofluorescence (IF)
  • Cross-Reactivity

    Human, Rat

    Purification

    Affinity purification

    Immunogen

    KLH conjugated Synthetic peptide corresponding to Mouse RING1
  • Application Notes

    IHC/IF (H,M,R) 1:1800-1:3600/1:400-1:800

    Restrictions

    For Research Use only
  • Format

    Liquid

    Buffer

    PBS, pH 7.4, 0.02 % sodium azide

    Preservative

    Sodium azide

    Precaution of Use

    This product contains Sodium azide: a POISONOUS AND HAZARDOUS SUBSTANCE which should be handled by trained staff only.

    Storage

    -20 °C
  • Target

    RING1 (Ring Finger Protein 1 (RING1))

    Alternative Name

    RING1

    Background

    This gene belongs to the RING finger family, members of which encode proteins characterized by a RING domain, a zinc-binding motif related to the zinc finger domain. The gene product can bind DNA and can act as a transcriptional repressor. It is associated with the multimeric polycomb group protein complex. The gene product interacts with the polycomb group proteins BMI1, EDR1, and CBX4, and colocalizes with these proteins in large nuclear domains. It interacts with the CBX4 protein via its glycine-rich C-terminal domain.

    Gene ID

    19763

    NCBI Accession

    NP_033092

    UniProt

    O35730
You are here:
Chat with us!