RBM45 antibody
Quick Overview for RBM45 antibody (ABIN7075477)
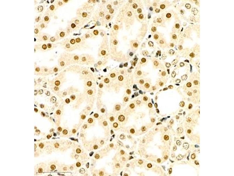
Target
See all RBM45 AntibodiesReactivity
Host
Clonality
Conjugate
Application
-
-
Cross-Reactivity
- Rat
-
Purification
- Affinity purification
-
Immunogen
- KLH conjugated Synthetic peptide corresponding to Mouse RB-1
-
-
-
-
Application Notes
- IHC/IF (M,R) 1:700-1:1400/1:500-1:2500
-
Restrictions
- For Research Use only
-
-
-
Format
- Liquid
-
Buffer
- PBS, pH 7.4, 0.02 % sodium azide
-
Preservative
- Sodium azide
-
Precaution of Use
- This product contains Sodium azide: a POISONOUS AND HAZARDOUS SUBSTANCE which should be handled by trained staff only.
-
Storage
- -20 °C
-
-
- RBM45 (RNA Binding Motif Protein 45 (RBM45))
-
Alternative Name
- RB-1
-
Background
- RB1 belongs to the retinoblastoma protein family. It is a key regulator of entry into cell division that acts as a tumor suppressor. RB1 acts as a transcription repressor of E2F1 target genes. The underphosphorylated, active form of RB1 interacts with E2F1 and represses its transcription activity, leading to cell cycle arrest. It is directly involved in heterochromatin formation by maintaining overall chromatin structure and, in particular, that of constitutive heterochromatin by stabilizing histone methylation.
-
Gene ID
- 19645
-
NCBI Accession
- NP_033055
-
UniProt
- P13405
Target
-