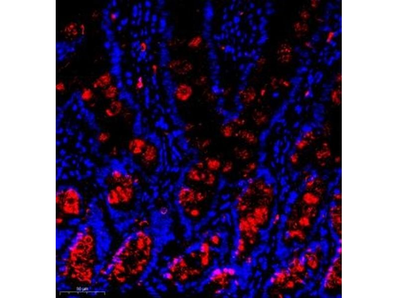
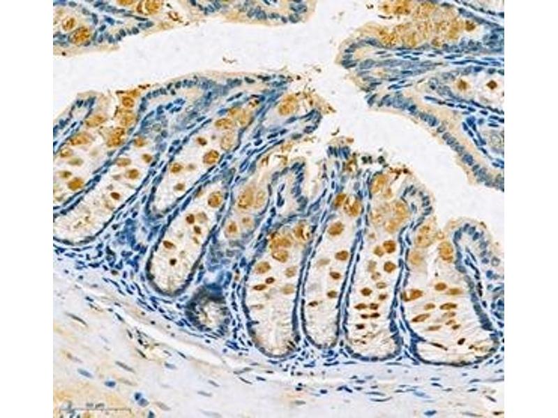
The Rabbit Polyclonal anti-SLC30A1 antibody (ABIN7075672) specifically detects SLC30A1 in IHC and IF.
The antibody is reactive with Mouse and Rat samples.
SLC30A1
Reactivity: Human, Mouse
WB, IF (cc), IF (p)
Host: Rabbit
Polyclonal
Cy7
Application Notes
IHC/IF (M,R) 1:650-1:1300/1:400-1:1200
Restrictions
For Research Use only
Format
Liquid
Buffer
PBS, pH 7.4, 0.02 % sodium azide
Preservative
Sodium azide
Precaution of Use
This product contains Sodium azide: a POISONOUS AND HAZARDOUS SUBSTANCE which should be handled by trained staff only.
Storage
-20 °C
Target
SLC30A1
(Solute Carrier Family 30 (Zinc Transporter), Member 1 (SLC30A1))
Alternative Name
ZnT1
Background
Zinc, an essential element required for cell proliferation and differentiation, plays a role in a diverse array of cellular functions, including acting as a cofactor for numerous enzymes and transcription factors and as a neuroregulator. The zinc transporter (ZnT) family regulates the supply of zinc within cells, and its members are characterized by containing six membrane-spanning domains, a large histidine-rich intracellular loop, and a C-terminal tail.