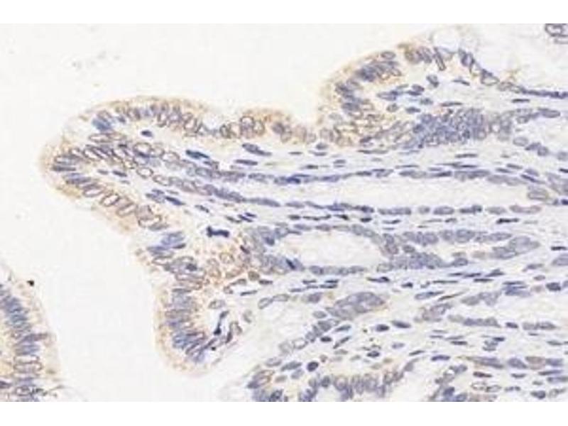
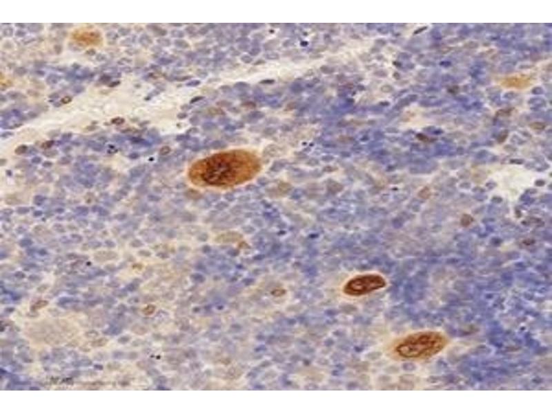
TMEM177 antibody
Quick Overview for TMEM177 antibody (ABIN7075996)
Target
Reactivity
Host
Clonality
Conjugate
Application
-
-
Cross-Reactivity
- Rat
-
Purification
- Affinity purification
-
Immunogen
- KLH conjugated Synthetic peptide corresponding to Mouse TMEM177
-
-
-
-
Application Notes
- IHC/IF (M,R) 1:500-1:1000
-
Restrictions
- For Research Use only
-
-
-
Format
- Liquid
-
Buffer
- PBS, pH 7.4, 0.02 % sodium azide
-
Preservative
- Sodium azide
-
Precaution of Use
- This product contains Sodium azide: a POISONOUS AND HAZARDOUS SUBSTANCE which should be handled by trained staff only.
-
Storage
- -20 °C
-
-
- TMEM177 (Transmembrane Protein 177 (TMEM177))
-
Alternative Name
- TMEM177
-
Background
- Plays a role in the early steps of cytochrome c oxidase subunit II (MT-CO2/COX2) maturation and is required for the stabilization of COX20 and the newly synthesized MT-CO2/COX2 protein.
-
Gene ID
- 66343
-
NCBI Accession
- NP_780315
-
UniProt
- Q8BPE4
Target
-