Phone:
+1 877 302 8632
Fax:
+1 888 205 9894 (Toll-free)
E-Mail:
orders@antibodies-online.com

TRIM46 antibody

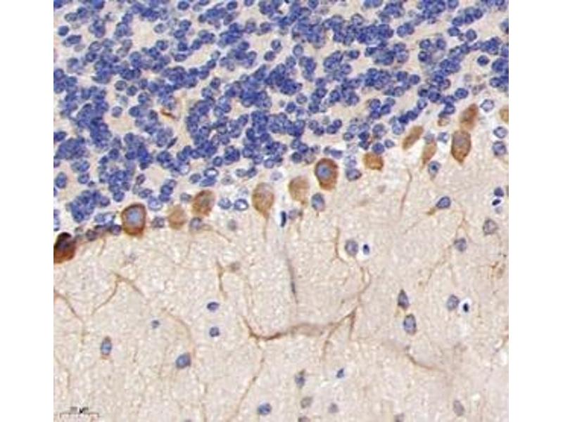
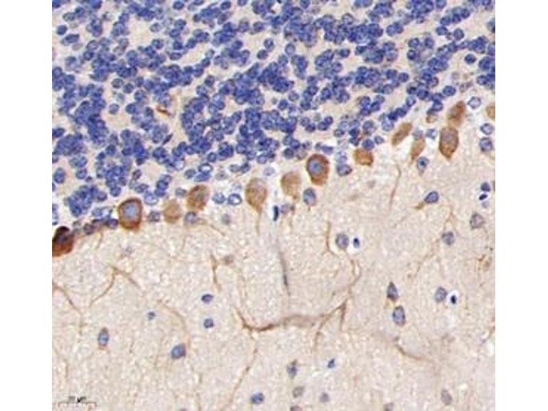
The Rabbit Polyclonal anti-TRIM46 antibody (ABIN7076020) specifically detects TRIM46 in WB, IF and IHC. The antibody is reactive with Mouse and Rat samples.
Catalog No. ABIN7076020
$341.54
Plus shipping costs $50.00
100 μL
Shipping to: United States
Delivery in 15 to 22 Business Days

Quick Overview for TRIM46 antibody (ABIN7076020)

Target

TRIM46 (Tripartite Motif Containing 46 (TRIM46))

Reactivity

  • 19
  • 3
  • 2
Mouse, Rat

Host

  • 14
  • 6
Rabbit

Clonality

  • 17
  • 3
Polyclonal

Conjugate

  • 15
  • 1
  • 1
  • 1
  • 1
  • 1
This TRIM46 antibody is un-conjugated

Application

  • 16
  • 13
  • 6
  • 2
  • 1
  • 1
Western Blotting (WB), Immunofluorescence (IF), Immunohistochemistry (IHC)
You are here:
Chat with us!