SR140 antibody
Quick Overview for SR140 antibody (ABIN7076091)
Target
Reactivity
Host
Clonality
Conjugate
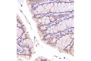
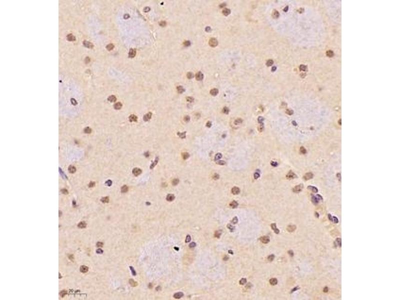
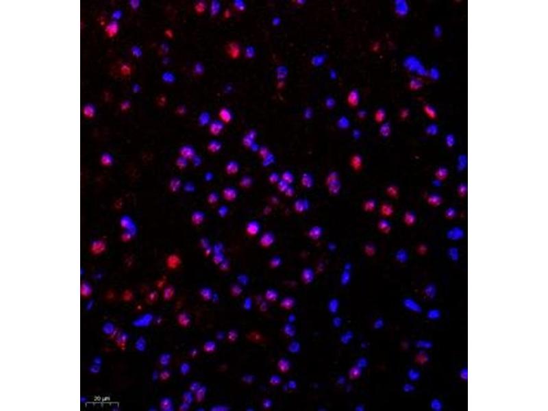
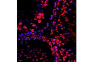
Application
-
-
Cross-Reactivity
- Rat
-
Purification
- Affinity purification
-
Immunogen
- Recombinant protein corresponding to Mouse SR140
-
-
-
-
Application Notes
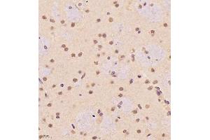
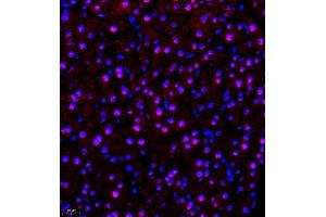
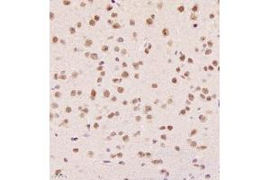
- IHC/IF (M,R) 1:1000-1:3000/1:600-1:1200
-
Restrictions
- For Research Use only
-
-
-
Format
- Liquid
-
Buffer
- PBS, pH 7.4, 0.02 % sodium azide
-
Preservative
- Sodium azide
-
Precaution of Use
- This product contains Sodium azide: a POISONOUS AND HAZARDOUS SUBSTANCE which should be handled by trained staff only.
-
Storage
- -20 °C
-
-
- SR140 (U2-Associated SR140 Protein (SR140))
-
Alternative Name
- SR140
-
Background
- U2SURP (U2 SnRNP Associated SURP Domain Containing) is a Protein Coding gene. Diseases associated with U2SURP include Retinitis Pigmentosa 67. Among its related pathways are Gene Expression and mRNA Splicing - Major Pathway. Gene Ontology (GO) annotations related to this gene include nucleic acid binding and RNA binding.
-
Gene ID
- 67958
-
NCBI Accession
- NP_001108449
-
UniProt
- Q6NV83
Target
-