×
For best experience we recommend to activate Javascript in your browser.
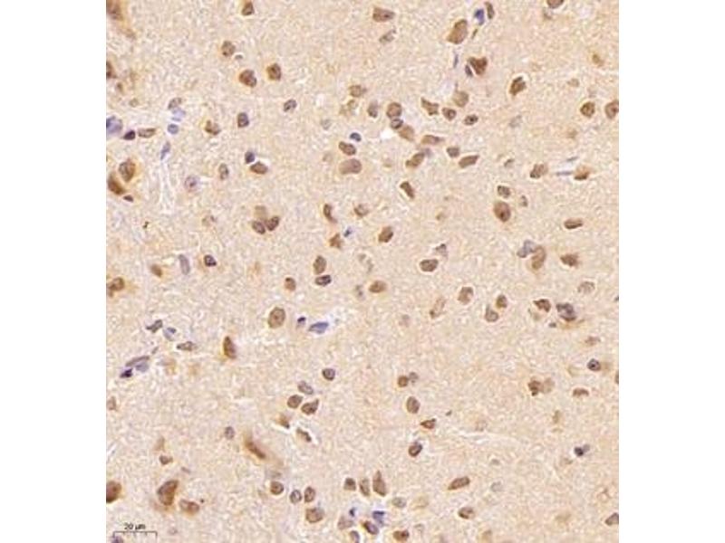
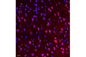
WHSC1L1 antibody
The Rabbit Polyclonal anti-WHSC1L1 antibody (ABIN7076233) specifically detects WHSC1L1 in IHC and IF.
The antibody is reactive with Mouse and Rat samples.
Catalog No. ABIN7076233
$341.54
Plus shipping costs $50.00
Delivery in 15 to 22 Business Days
Quick Overview for WHSC1L1 antibody (ABIN7076233)
Target
See all WHSC1L1 Antibodies
WHSC1L1
(Wolf-Hirschhorn Syndrome Candidate 1-Like 1 (WHSC1L1))
Reactivity
All reactivities for WHSC1L1 antibodies
Mouse, Rat
Host
All hosts for WHSC1L1 antibodies
Rabbit
Clonality
All clonalities for WHSC1L1 antibodies
Polyclonal
Conjugate
All conjugates for WHSC1L1 antibodies
This WHSC1L1 antibody is un-conjugated
Application
All applications for WHSC1L1 antibodies
Immunohistochemistry (IHC), Immunofluorescence (IF)
Product Details anti-WHSC1L1 Antibody
(hide)
Cross-Reactivity
Mouse, Rat
Purification
Affinity purification
Immunogen
Recombinant protein corresponding to Human NSD3
Alternatives
(show)
Application Details
(hide)
Application Notes
IHC/IF (M,R) 1:1400-1:2800/1:600-1:1200
Restrictions
For Research Use only
Handling
(hide)
Format
Liquid
Buffer
PBS, pH 7.4, 0.02 % sodium azide
Preservative
Sodium azide
Precaution of Use
This product contains Sodium azide: a POISONOUS AND HAZARDOUS SUBSTANCE which should be handled by trained staff only.
Storage
-20 °C
Target Details for WHSC1L1
(hide)
Target
WHSC1L1
(Wolf-Hirschhorn Syndrome Candidate 1-Like 1 (WHSC1L1))
Alternative Name
NSD3
Background
Histone methyltransferase. Preferentially dimethylates 'Lys-4' and 'Lys-27' of histone H3 forming H3K2me2 and H3K27me2. H3 'Lys-4' methylation represents a specific tag for epigenetic transcriptional activation, while 'Lys-27' is a mark for transcriptional repression.
Gene ID
234135
NCBI Accession
NP_060248
UniProt
Q9BZ95
Recently viewed
(hide)
You are here:
Homepage
anti-WHSC1L1 antibody (ABIN7076233)
Chat with us , powered by LiveChat