Phone:
+1 877 302 8632
Fax:
+1 888 205 9894 (Toll-free)
E-Mail:
orders@antibodies-online.com

Recombinant CDX2 antibody

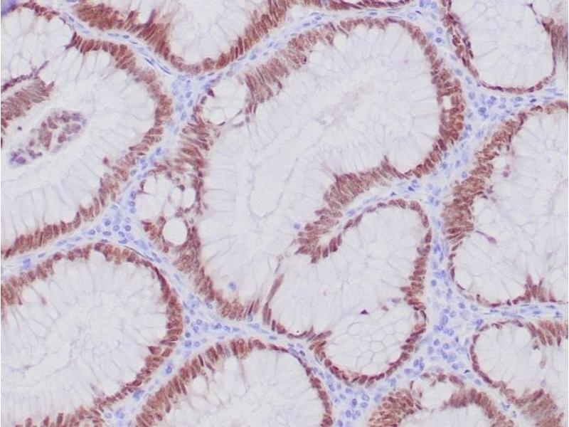
The Rabbit Monoclonal anti-CDX2 antibody (ABIN7504139) specifically detects CDX2 in IHC (f). The antibody is reactive with Human and Synthetic samples.
Catalog No. ABIN7504139
$640.46
Plus shipping costs $50.00
Shipping to: United States
Delivery in 2 to 5 Business Days

Quick Overview for Recombinant CDX2 antibody (ABIN7504139)

Target

See all CDX2 Antibodies
CDX2 (Caudal Type Homeobox 2 (CDX2))

Antibody Type

Recombinant Antibody

Reactivity

  • 183
  • 58
  • 53
  • 14
  • 4
  • 3
  • 3
  • 2
  • 2
  • 2
  • 1
  • 1
  • 1
  • 1
  • 1
Human, Synthetic

Host

  • 108
  • 74
  • 1
Rabbit

Clonality

  • 101
  • 81
  • 1
Monoclonal

Conjugate

  • 91
  • 12
  • 7
  • 5
  • 5
  • 5
  • 5
  • 5
  • 5
  • 4
  • 4
  • 3
  • 3
  • 3
  • 3
  • 3
  • 3
  • 2
  • 2
  • 1
  • 1
  • 1
  • 1
  • 1
  • 1
  • 1
  • 1
  • 1
  • 1
  • 1
  • 1
  • 1
This CDX2 antibody is un-conjugated

Application

  • 78
  • 77
  • 67
  • 39
  • 38
  • 24
  • 23
  • 23
  • 19
  • 13
  • 12
  • 9
  • 9
  • 6
  • 2
  • 2
  • 2
  • 1
Immunohistochemistry (Formalin-fixed Sections) (IHC (f))
  • Specificity

    The intestine-specific transcription factors CDX1 and CDX2 are important for directing intestinal development, differentiation, proliferation and maintenance of the intestinal phenotype. CDX2 protein expression has been seen in GI carcinomas. Anti-CDX2 has been useful to establish GI origin of metastatic adenocarcinomas and carcinoidsand is especially useful to distinguish metastatic colorectal adenocarcinoma from lung adenocarcinoma.However, mucinous carcinomas of the ovary also express CDX2 protein. It limits the usefulness of this marker in the distinction of metastatic colorectal adenocarcinoma from mucinous carcinoma of the ovary.

    Cross-Reactivity (Details)

    Human.

    Purification

    200ug/ml of Ab purified from Bioreactor Concentrate by Protein A/G.

    Immunogen

    Recombinant fragments and synthetic peptides from human CDX2 protein (exact sequences are proprietary)

    Isotype

    IgG
  • Application Notes

    Positive Control: HT29 cells. Human colon carcinoma

    Known Application: Immunohistochemistry (Formalin-fixed) (1-2 μg/mL for 30 minutes at RT),(Staining of formalin-fixed tissues requires heating tissue sections in 10 mM Tris with 1 mM EDTA, pH 9.0, for 45 min at 95 °C followed by cooling at RT for 20 minutes),Optimal dilution for a specific application should be determined.

    Restrictions

    For Research Use only
  • Concentration

    200 μg/mL

    Buffer

    Prepared in 10 mM PBS with 0.05 % BSA and 0.05 % azide.

    Preservative

    Sodium azide

    Precaution of Use

    This product contains Sodium azide: a POISONOUS AND HAZARDOUS SUBSTANCE which should be handled by trained staff only.

    Storage

    4 °C,-80 °C

    Storage Comment

    Antibody with azide - store at 2 to 8 °C. Antibody is stable for 24 months. Non-hazardous. Also available WITHOUT BSA & azide at 1.0mg/ml.

    Expiry Date

    24 months
  • Target

    CDX2 (Caudal Type Homeobox 2 (CDX2))

    Alternative Name

    CDX2

    Background

    Caudal type homeobox 2, Caudal type homeobox transcription factor 2, Caudal-type homeobox protein 2, CDX2,CDX2 / Caudal Type Homeobox 2 (GI Epithelial Marker)
    Cellular localisation: Nuclear

    Molecular Weight

    40kDa

    Gene ID

    1045, 174249

    UniProt

    Q99626

    Pathways

    Peptide Hormone Metabolism, Stem Cell Maintenance
You are here:
Chat with us!