Phone:
+1 877 302 8632
Fax:
+1 888 205 9894 (Toll-free)
E-Mail:
orders@antibodies-online.com

Recombinant Cathepsin S antibody

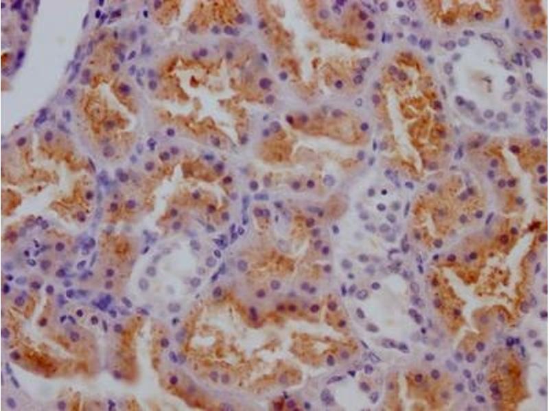
The Rabbit Monoclonal anti-Cathepsin S antibody (Clone 9B10) (ABIN7127386) specifically detects Cathepsin S in IHC and ELISA. The antibody is reactive with Human samples.
Catalog No. ABIN7127386
$462.00
Plus shipping costs $50.00
Shipping to: United States
Delivery in 13 to 17 Business Days

Quick Overview for Recombinant Cathepsin S antibody (ABIN7127386)

Target

See all Cathepsin S (CTSS) Antibodies
Cathepsin S (CTSS)

Antibody Type

Recombinant Antibody

Reactivity

  • 61
  • 15
  • 8
  • 4
  • 3
  • 2
  • 2
  • 2
  • 2
  • 1
  • 1
  • 1
Human

Host

  • 64
  • 12
  • 2
  • 1
Rabbit

Clonality

  • 54
  • 25
Monoclonal

Conjugate

  • 43
  • 8
  • 8
  • 3
  • 2
  • 2
  • 2
  • 2
  • 2
  • 2
  • 1
  • 1
  • 1
  • 1
  • 1
This Cathepsin S antibody is un-conjugated

Application

  • 51
  • 37
  • 25
  • 20
  • 17
  • 12
  • 8
  • 5
  • 4
  • 3
  • 2
  • 1
  • 1
  • 1
  • 1
  • 1
Immunohistochemistry (IHC), ELISA

Clone

9B10
  • Purpose

    CTSS Recombinant Monoclonal Antibody

    Purification

    Affinity-chromatography

    Immunogen

    A synthesized peptide derived from human Cathepsin S

    Isotype

    IgG
  • Application Notes

    IHC:1:50-1:200

    Restrictions

    For Research Use only
  • Format

    Liquid

    Buffer

    phosphate buffered saline, pH 7.4, 150 mM NaCl, 0.02 % sodium azide and 50 % glycerol.

    Preservative

    Sodium azide

    Precaution of Use

    This product contains Sodium azide: a POISONOUS AND HAZARDOUS SUBSTANCE which should be handled by trained staff only.

    Storage

    -20 °C,-80 °C

    Storage Comment

    Upon receipt, store at -20°C or -80°C. Avoid repeated freeze.
  • Target

    Cathepsin S (CTSS)

    Alternative Name

    CTSS

    Background

    Background: Thiol protease. Key protease responsible for the removal of the invariant chain from MHC class II molecules. The bond-specificity of this proteinase is in part similar to the specificities of cathepsin L and cathepsin N.

    Aliases: Cathepsin S (EC 3.4.22.27), CTSS

    UniProt

    P25774

    Pathways

    Activation of Innate immune Response, Toll-Like Receptors Cascades
You are here:
Chat with us!