Phone:
+1 877 302 8632
Fax:
+1 888 205 9894 (Toll-free)
E-Mail:
orders@antibodies-online.com

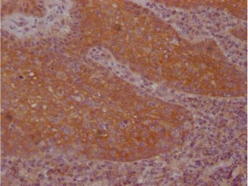
Recombinant FNTB antibody

This Rabbit Monoclonal antibody specifically detects FNTB in WB, ELISA, IHC and IP. It exhibits reactivity toward Human.
Catalog No. ABIN7127495
$462.00
Plus shipping costs $50.00
Shipping to: United States
Delivery in 13 to 17 Business Days

Quick Overview for Recombinant FNTB antibody (ABIN7127495)

Target

See all FNTB Antibodies
FNTB (Farnesyltransferase subunit beta (FNTB))

Antibody Type

Recombinant Antibody

Reactivity

  • 59
  • 31
  • 14
  • 2
  • 1
  • 1
  • 1
  • 1
  • 1
Human

Host

  • 58
  • 1
Rabbit

Clonality

  • 39
  • 20
Monoclonal

Conjugate

  • 22
  • 6
  • 4
  • 3
  • 3
  • 3
  • 3
  • 3
  • 3
  • 3
  • 2
  • 2
  • 1
  • 1
This FNTB antibody is un-conjugated

Application

  • 39
  • 22
  • 14
  • 12
  • 11
  • 3
  • 3
  • 1
  • 1
Western Blotting (WB), ELISA, Immunohistochemistry (IHC), Immunoprecipitation (IP)

Clone

5H4
  • Purpose

    FNTB Recombinant Monoclonal Antibody

    Cross-Reactivity

    Rat

    Purification

    Affinity-chromatography

    Immunogen

    A synthesized peptide derived from human FNTB

    Isotype

    IgG
  • Application Notes

    WB:1:500-1:5000, IHC:1:50-1:200, IP:1:200-1:1000

    Restrictions

    For Research Use only
  • Format

    Liquid

    Buffer

    phosphate buffered saline, pH 7.4, 150 mM NaCl, 0.02 % sodium azide and 50 % glycerol.

    Preservative

    Sodium azide

    Precaution of Use

    This product contains Sodium azide: a POISONOUS AND HAZARDOUS SUBSTANCE which should be handled by trained staff only.

    Storage

    -20 °C,-80 °C

    Storage Comment

    Upon receipt, store at -20°C or -80°C. Avoid repeated freeze.
  • Target

    FNTB (Farnesyltransferase subunit beta (FNTB))

    Alternative Name

    FNTB

    Background

    Background: Essential subunit of the farnesyltransferase complex. Catalyzes the transfer of a farnesyl moiety from farnesyl diphosphate to a cysteine at the fourth position from the C-terminus of several proteins having the C-terminal sequence Cys-aliphatic-aliphatic-X.

    Aliases: Protein farnesyltransferase subunit beta (FTase-beta) (EC 2.5.1.58) (CAAX farnesyltransferase subunit beta) (Ras proteins prenyltransferase subunit beta), FNTB

    UniProt

    P49356
You are here:
Chat with us!