Recombinant UQCRC2 antibody
Quick Overview for Recombinant UQCRC2 antibody (ABIN7127865)
Target
See all UQCRC2 AntibodiesAntibody Type
Reactivity
Host
Clonality
Conjugate
Application
Clone
-
-
Purpose
- UQCRC2 Recombinant Monoclonal Antibody
-
Purification
- Affinity-chromatography
-
Immunogen
- A synthesized peptide derived from human UQCRC2
-
Isotype
- IgG
-
-
-
-
Application Notes
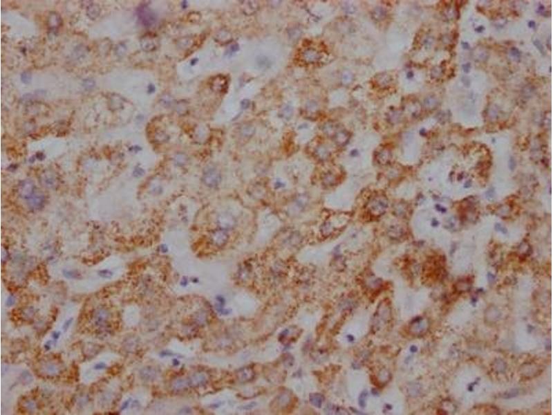
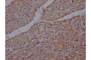
- WB:1:500-1:5000, IHC:1:50-1:200
-
Restrictions
- For Research Use only
-
-
-
Format
- Liquid
-
Buffer
- phosphate buffered saline, pH 7.4, 150 mM NaCl, 0.02 % sodium azide and 50 % glycerol.
-
Preservative
- Sodium azide
-
Precaution of Use
- This product contains Sodium azide: a POISONOUS AND HAZARDOUS SUBSTANCE which should be handled by trained staff only.
-
Storage
- -20 °C,-80 °C
-
Storage Comment
- Upon receipt, store at -20°C or -80°C. Avoid repeated freeze.
-
-
- UQCRC2 (Ubiquinol-Cytochrome C Reductase Core Protein II (UQCRC2))
-
Alternative Name
- UQCRC2
-
Background
-
Background: This is a component of the ubiquinol-cytochrome c reductase complex (complex III or cytochrome b-c1 complex), which is part of the mitochondrial respiratory chain. The core protein 2 is required for the assembly of the complex.
Aliases: Cytochrome b-c1 complex subunit 2, mitochondrial (Complex III subunit 2) (Core protein II) (Ubiquinol-cytochrome-c reductase complex core protein 2), UQCRC2
-
UniProt
- P22695
Target
-