Phone:
+1 877 302 8632
Fax:
+1 888 205 9894 (Toll-free)
E-Mail:
orders@antibodies-online.com

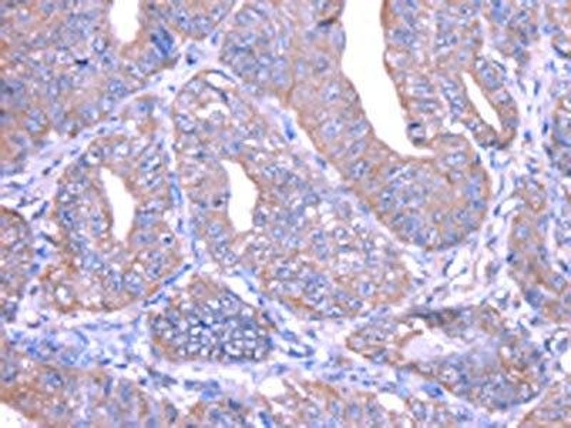
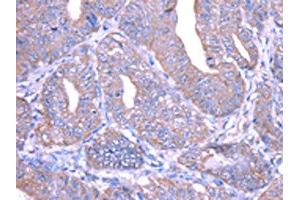
THAP6 antibody

The Rabbit Polyclonal anti-THAP6 antibody is suitable to detect THAP6 in samples from Human. It has been validated for IHC and ELISA.
Catalog No. ABIN7128033
$394.68
Plus shipping costs $50.00
Shipping to: United States
Delivery in 13 to 17 Business Days

Quick Overview for THAP6 antibody (ABIN7128033)

Target

THAP6 (THAP Domain Containing 6 (THAP6))

Reactivity

  • 15
  • 2
  • 2
  • 2
  • 1
  • 1
Human

Host

  • 11
  • 4
Rabbit

Clonality

  • 12
  • 3
Polyclonal

Conjugate

  • 8
  • 1
  • 1
  • 1
  • 1
  • 1
  • 1
  • 1
This THAP6 antibody is un-conjugated

Application

  • 8
  • 3
  • 2
  • 1
Immunohistochemistry (IHC), ELISA
  • Purpose

    THAP6 Antibody

    Purification

    Antigen affinity purification

    Immunogen

    Full length fusion protein

    Isotype

    IgG
  • Application Notes

    Optimal working dilution should be determined by the investigator.

    Restrictions

    For Research Use only
  • Format

    Liquid

    Buffer

     pH 7.4 PBS, 0.05 % Sodium azide, 40 % Glycerol

    Preservative

    Sodium azide

    Precaution of Use

    This product contains Sodium azide: a POISONOUS AND HAZARDOUS SUBSTANCE which should be handled by trained staff only.

    Storage

    -20 °C,-80 °C

    Storage Comment

    Upon receipt, store at -20°C or -80°C. Avoid repeated freeze.
  • Target

    THAP6 (THAP Domain Containing 6 (THAP6))

    Alternative Name

    THAP6

    Background

    Background: THAP6 (THAP domain-containing protein 6) is a 222 amino acid protein that contains one THAP-type zinc finger and exists as two alternatively spliced isoforms. The gene that encodes THAP6 consists of approximately 36,528 bases and maps to human chromosome 4q21.1. Chromosome 4 represents approximately 6 % of the human genome and contains nearly 900 genes. Notably, the Huntingtin gene, which is found to encode an expanded glutamine tract in cases of Huntington's disease, is encoded by a gene that maps to chromosome 4. FGFR-3 is also encoded by a gene located on chromosome 4 and has been associated with thanatophoric dwarfism, achondroplasia, Muenke syndrome and bladder cancer. Chromosome 4 is also tied to Ellis-van Creveld syndrome, methylmalonic acidemia and polycystic kidney disease.

    Aliases: THAP6 antibody, THAP domain-containing protein 6 antibody

    UniProt

    Q8TBB0
You are here:
Chat with us!