Phone:
+1 877 302 8632
Fax:
+1 888 205 9894 (Toll-free)
E-Mail:
orders@antibodies-online.com

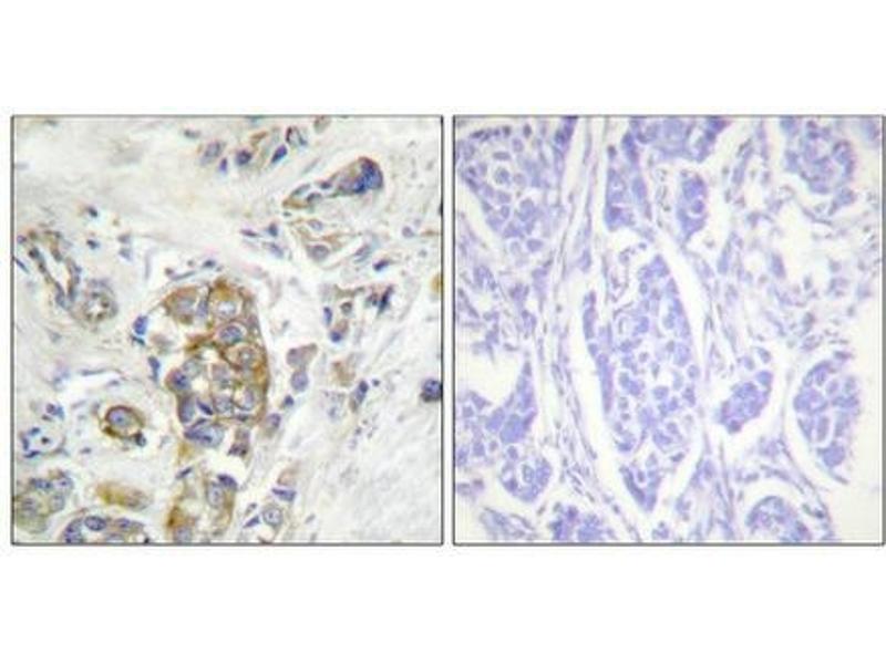
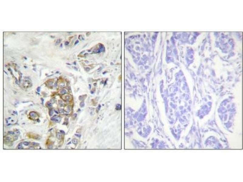
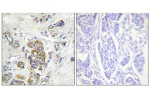
Integrin beta 4 antibody (pTyr1510)

The Rabbit Polyclonal anti-Integrin beta 4 antibody (ABIN7139098) specifically detects Integrin beta 4 in WB, IHC and ELISA. The antibody is reactive with Human samples.
Catalog No. ABIN7139098
$475.20
Plus shipping costs $50.00
100 μL
Shipping to: United States
Delivery in 13 to 17 Business Days

Quick Overview for Integrin beta 4 antibody (pTyr1510) (ABIN7139098)

Target

See all Integrin beta 4 (ITGB4) Antibodies
Integrin beta 4 (ITGB4)

Reactivity

  • 105
  • 34
  • 25
  • 4
  • 4
Human

Host

  • 71
  • 44
  • 9
  • 2
Rabbit

Clonality

  • 71
  • 55
Polyclonal

Conjugate

  • 63
  • 10
  • 8
  • 3
  • 3
  • 3
  • 3
  • 3
  • 3
  • 3
  • 2
  • 1
  • 1
  • 1
  • 1
  • 1
  • 1
  • 1
  • 1
  • 1
  • 1
  • 1
  • 1
  • 1
  • 1
  • 1
  • 1
  • 1
  • 1
  • 1
  • 1
  • 1
  • 1
This Integrin beta 4 antibody is un-conjugated

Application

  • 63
  • 53
  • 46
  • 33
  • 22
  • 18
  • 13
  • 13
  • 13
  • 13
  • 9
  • 8
  • 7
  • 2
  • 2
  • 1
  • 1
  • 1
  • 1
Western Blotting (WB), Immunohistochemistry (IHC), ELISA
  • Binding Specificity

    • 15
    • 10
    • 6
    • 3
    • 2
    • 2
    • 2
    • 2
    • 2
    • 2
    • 1
    • 1
    • 1
    • 1
    • 1
    • 1
    • 1
    • 1
    • 1
    • 1
    • 1
    • 1
    pTyr1510

    Purpose

    Phospho-ITGB4 (Tyr1510) Antibody

    Cross-Reactivity

    Mouse, Rat

    Purification

    Antibodies were produced by immunizing rabbits with synthetic phosphopeptide and KLH conjugates. Antibodies were purified by affinity-chromatography using epitope-specific phosphopeptide. Non-phospho specific antibodies were removed by chromatogramphy usi

    Immunogen

    Peptide sequence around phosphorylation site of tyrosine1510(R-D-Y(p)-S-T) derived from Human ITGB4 .

    Isotype

    IgG
  • Application Notes

    Optimal working dilution should be determined by the investigator.

    Restrictions

    For Research Use only
  • Format

    Liquid

    Buffer

    phosphate buffered saline (without Mg2+ and Ca2+), pH 7.4, 150 mM NaCl, 0.02 % sodium azide and 50 % glycerol.

    Preservative

    Sodium azide

    Precaution of Use

    This product contains Sodium azide: a POISONOUS AND HAZARDOUS SUBSTANCE which should be handled by trained staff only.

    Storage

    -20 °C,-80 °C

    Storage Comment

    Upon receipt, store at -20°C or -80°C. Avoid repeated freeze.
  • Target

    Integrin beta 4 (ITGB4)

    Alternative Name

    ITGB4

    Background

    Background:

    Integrin alpha-6/beta-4 is a receptor for laminin. Plays a critical structural role in the hemidesmosome of epithelial cells. Is required for the regulation of keratinocyte polarity and motility.

    Suzuki S., EMBO J. 9:757-763(1990).
    Hogervorst F., EMBO J. 9:765-770(1990).
    Tamura R.N., J. Cell Biol. 111:1593-1604(1990).

    Aliases: CD 104 antibody, CD104 antibody, CD104 antigen antibody, gp150 antibody, Integrin beta 4 subunit antibody, Integrin beta-4 antibody, ITB4_HUMAN antibody, ITG B4 antibody, ITGB 4 antibody, Itgb4 antibody

    UniProt

    P16144

    Pathways

    Integrin Complex
You are here:
Chat with us!