Phone:
+1 877 302 8632
Fax:
+1 888 205 9894 (Toll-free)
E-Mail:
orders@antibodies-online.com

HTN3 antibody (AA 20-34)

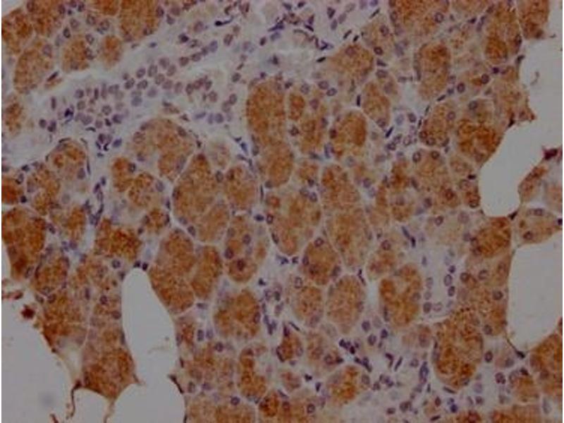
The Rabbit Polyclonal anti-HTN3 antibody (ABIN7139875) specifically detects HTN3 in IHC and ELISA. The antibody is reactive with Human samples.
Catalog No. ABIN7139875
$394.68
Plus shipping costs $50.00
Shipping to: United States
Delivery in 13 to 17 Business Days

Quick Overview for HTN3 antibody (AA 20-34) (ABIN7139875)

Target

See all HTN3 Antibodies
HTN3 (Histatin 3 (HTN3))

Reactivity

Human

Host

  • 5
  • 4
Rabbit

Clonality

  • 5
  • 4
Polyclonal

Conjugate

  • 6
  • 1
  • 1
  • 1
This HTN3 antibody is un-conjugated

Application

  • 4
  • 4
  • 4
  • 3
  • 2
  • 2
  • 1
Immunohistochemistry (IHC), ELISA
  • Binding Specificity

    • 3
    • 1
    • 1
    AA 20-34

    Purpose

    HTN3 Antibody

    Purification

    Antigen Affinity purified & Affinity purified

    Purity

    >95 %

    Immunogen

    Peptide sequence from Human Histatin-3 protein (20-34AA)

    Isotype

    IgG
  • Application Notes

    Optimal working dilution should be determined by the investigator.

    Restrictions

    For Research Use only
  • Format

    Liquid

    Buffer

    Preservative: 0.03 % Proclin 300
    Constituents: 50 % Glycerol, 0.01M PBS, PH 7.4

    Preservative

    ProClin

    Precaution of Use

    This product contains ProClin: a POISONOUS AND HAZARDOUS SUBSTANCE which should be handled by trained staff only.

    Storage

    -20 °C,-80 °C

    Storage Comment

    Upon receipt, store at -20°C or -80°C. Avoid repeated freeze.
  • Target

    HTN3 (Histatin 3 (HTN3))

    Alternative Name

    HTN3

    Background

    Background: Histatins are salivary proteins that are considered to be major precursors of the protective proteinaceous structure on tooth surfaces (enamel pellicle). In addition, histatins exhibit antibacterial and antifungal activities. His3-(20-43)-peptide (histatin-5) is especially effective against C.albicans and C.neoformans, and inhibits Lys-gingipain and Arg-gingipain (rgpB) from P.gingivalis. In addition, His3-(20-43)-peptide is a potent inhibitor of metalloproteinases MMP2 and MMP9.

    Aliases: HTN3 antibody, HIS2 antibody, Histatin-3 antibody, Basic histidine-rich protein antibody, Hst antibody, Histidine-rich protein 3 antibody, PB) [Cleaved into: Histatin-3, His3-(20-44)-peptide antibody, His3 20/44 antibody, His3-(1-25)-peptide antibody, His3 1/25 antibody, Histatin-3 1/25 antibody, Histatin-6), His3-(20-43)-peptide antibody, His3 20/43 antibody, His3-(1-24)-peptide antibody, His3 1/24 antibody, Histatin-3 1/24 antibody, Histatin-5), His3-(20-32)-peptide antibody, His3 20/32 antibody, His3-(1-13)-peptide antibody, His3 1/13 antibody, Histatin-3 1/13), His3-(20-31)-peptide antibody, His3 20/31 antibody, His3-(1-12)-peptide antibody, His3 1/12 antibody, Histatin-3 1/12), His3-(20-30)-peptide antibody, His3 20/30 antibody, His3-(1-11)-peptide antibody, His3 1/11 antibody, Histatin-3 1/11), His3-(24-32)-peptide antibody, His3 24/32 antibody, His3-(5-13)-peptide antibody, His3 5/13 antibody, Histatin-3 5/13), His3-(24-31)-peptide antibody, His3 24/31 antibody, His3-(5-12)-peptide antibody, His3 5/12 antibody, Histatin-11 antibody, Histatin-3 5/12), His3-(24-30)-peptide antibody, His3 24/30 antibody, His3-(5-11)-peptide antibody, His3 5/11 antibody, Histatin-12 antibody, Histatin-3 5/11), His3-(25-32)-peptide antibody, His3 25/32 antibody, His3-(6-13)-peptide antibody, His3 6/13 antibody, Histatin-3 6/13), His3-(25-30)-peptide antibody, His3 25/30 antibody, His3-(6-11)-peptide antibody, His3 6/11 antibody, Histatin-3 6/11), His3-(26-32)-peptide antibody, His3 26/32 antibody, His3-(7-13)-peptide antibody, His3 7/13 antibody, Histatin-3 7/13), His3-(26-31)-peptide antibody, His3 26/31 antibody, His3-(7-12)-peptide antibody, His3 7/12 antibody, Histatin-3 7/12), His3-(26-30)-peptide antibody, His3 26/30 antibody, His3-(7-11)-peptide antibody, His3 7/11 antibody, Histatin-3 7/11), His3-(31-51)-peptide antibody, His3 31/51 antibody, His3-(12-32)-peptide antibody, His3 12/32 antibody, Histatin-3 12/32 antibody, Histatin-4), His3-(31-44)-peptide antibody, His3 31/44 antibody, His3-(12-25)-peptide antibody, His3 12/25 antibody, Histatin-3 12/25 antibody, Histatin-9), His3-(31-43)-peptide antibody, His3 31/43 antibody, His3-(12-24)-peptide antibody, His3 12/24 antibody, Histatin-3 12/24 antibody, Histatin-7), His3-(32-44)-peptide antibody, His3 32/44 antibody, His3-(13-25)-peptide antibody, His3 13/25 antibody, Histatin-10 antibody, Histatin-3 13/25), His3-(32-43)-peptide antibody, His3 32-43 antibody, His3-(13-24)-peptide antibody, His3 13/24 antibody, Histatin-3 13/24 antibody, Histatin-8), His3-(33-44)-peptide antibody, His3 33/44 antibody, His3-(14-25)-peptide antibody, His3 14/25 antibody, Histatin-3 14/25), His3-(33-43)-peptide antibody, His3 33/43 antibody, His3-(14-24)-peptide antibody, His3 14/24 antibody, Histatin-3 14/24), His3-(34-44)-peptide antibody, His3 34/44 antibody, His3-(15-25)-peptide antibody, His3 15/25 antibody, Histatin-3 15/25), His3-(34-43)-peptide antibody, His3 34/43 antibody, His3-(15-24)-peptide antibody, His3 15/24 antibody, Histatin-3 15/24), His3-(45-51)-peptide antibody, His3 45/51 antibody, His3-(26-32)-peptide antibody, His3 26/32 antibody, Histatin-3 26/32), His3-(47-51)-peptide antibody, His3 47/51 antibody, His3-(28-32)-peptide antibody, His3 28/32 antibody, Histatin-3 28/32), His3-(48-51)-peptide antibody, His3 48/51 antibody, His3-(29-32)-peptide antibody, His3 29/32 antibody, Histatin-3 29/32)] antibody

    UniProt

    P15516
You are here:
Chat with us!