Phone:
+1 877 302 8632
Fax:
+1 888 205 9894 (Toll-free)
E-Mail:
orders@antibodies-online.com

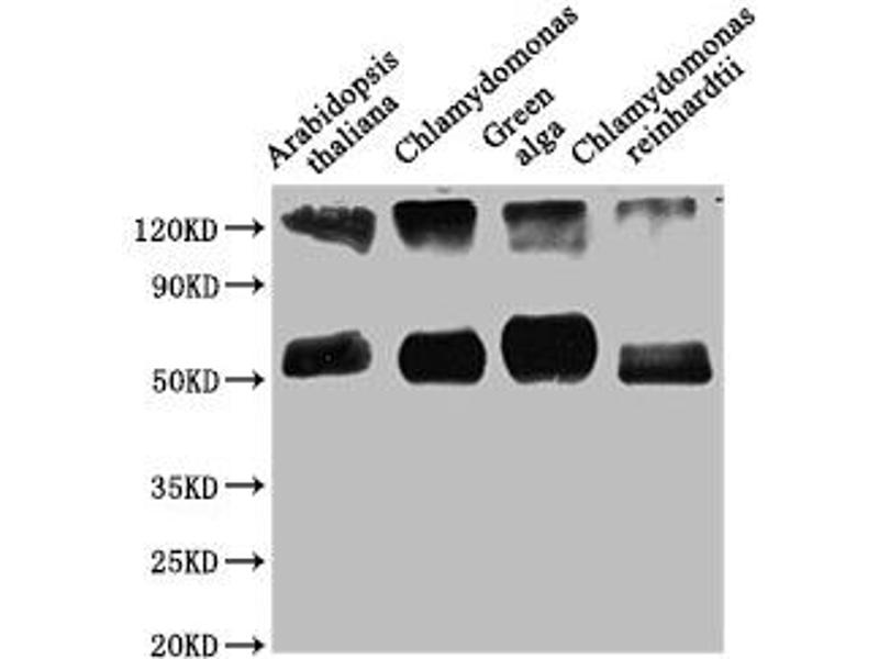
RBCL (AA 3-479) antibody

The Rabbit Polyclonal anti-RBCL antibody (ABIN7140577) specifically detects RBCL in ELISA and WB. The antibody is reactive with Arabidopsis thaliana samples.
Catalog No. ABIN7140577
$394.68
Plus shipping costs $50.00
Shipping to: United States
Delivery in 13 to 17 Business Days

Quick Overview for RBCL (AA 3-479) antibody (ABIN7140577)

Target

RBCL

Reactivity

  • 10
  • 9
  • 6
  • 6
  • 6
  • 6
  • 5
  • 5
  • 5
  • 5
  • 5
  • 5
  • 5
  • 5
  • 5
  • 5
  • 5
  • 5
  • 5
  • 5
  • 5
  • 5
  • 5
  • 5
  • 5
  • 5
  • 5
  • 5
  • 5
  • 5
  • 5
  • 5
  • 5
  • 5
  • 5
  • 5
  • 5
  • 5
  • 5
  • 5
  • 5
  • 5
  • 5
  • 5
  • 5
  • 5
  • 5
  • 5
  • 5
  • 5
Arabidopsis thaliana

Host

  • 18
  • 1
Rabbit

Clonality

  • 19
Polyclonal

Conjugate

  • 7
  • 4
  • 4
  • 3
  • 1
Un-conjugated

Application

  • 10
  • 10
  • 2
  • 2
  • 2
  • 1
ELISA, Western Blotting (WB)
  • Binding Specificity

    • 8
    • 3
    • 1
    • 1
    • 1
    AA 3-479

    Purpose

    rbcL Antibody

    Purification

    Protein G purified

    Purity

    >95 %

    Immunogen

    Recombinant Arabidopsis thaliana Ribulose bisphosphate carboxylase large chain protein (3-479AA)

    Isotype

    IgG
  • Application Notes

    Optimal working dilution should be determined by the investigator.

    Restrictions

    For Research Use only
  • Format

    Liquid

    Buffer

    Preservative: 0.03 % Proclin 300
    Constituents: 50 % Glycerol, 0.01M PBS, pH 7.4

    Preservative

    ProClin

    Precaution of Use

    This product contains ProClin: a POISONOUS AND HAZARDOUS SUBSTANCE which should be handled by trained staff only.

    Storage

    -20 °C,-80 °C

    Storage Comment

    Upon receipt, store at -20°C or -80°C. Avoid repeated freeze.
  • Target

    RBCL

    Background

    Background: RuBisCO catalyzes two reactions: the carboxylation of D-ribulose 1, 5-bisphosphate, the primary event in carbon dioxide fixation, as well as the oxidative fragmentation of the pentose substrate in the photorespiration process. Both reactions occur simultaneously and in competition at the same active site.

    Aliases: rbcL antibody, AtCg00490 antibody, Ribulose bisphosphate carboxylase large chain antibody, RuBisCO large subunit antibody, EC 4.1.1.39 antibody

    UniProt

    O03042
You are here:
Chat with us!