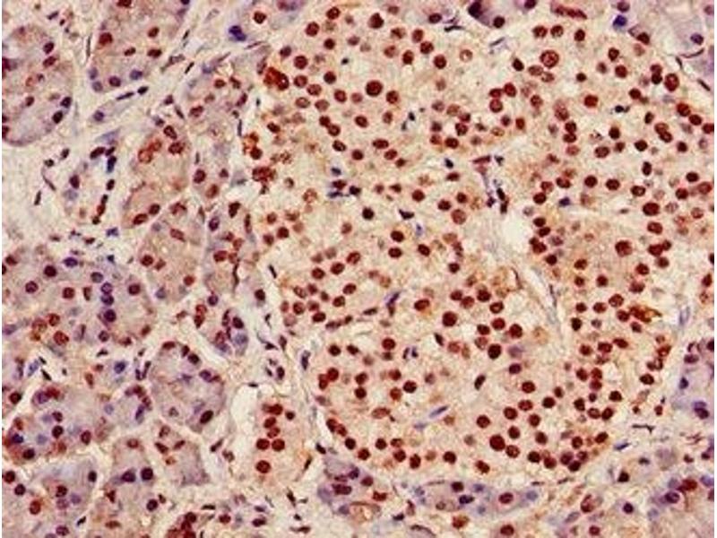
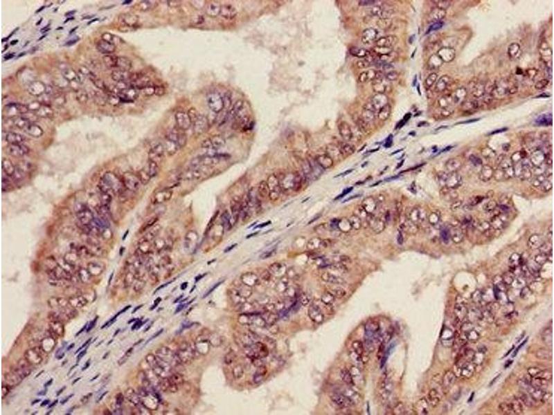
AGPAT5 antibody (AA 174-313)
Quick Overview for AGPAT5 antibody (AA 174-313) (ABIN7142023)
Target
See all AGPAT5 AntibodiesReactivity
Host
Clonality
Conjugate
Application
-
-
Binding Specificity
- AA 174-313
-
Purpose
- AGPAT5 Antibody
-
Cross-Reactivity
- Mouse
-
Purification
- Protein G purified
-
Purity
- >95 %
-
Immunogen
- Recombinant Human 1-acyl-sn-glycerol-3-phosphate acyltransferase epsilon protein (174-313AA)
-
Isotype
- IgG
-
-
-
-
Application Notes
- Optimal working dilution should be determined by the investigator.
-
Restrictions
- For Research Use only
-
-
-
Format
- Liquid
-
Buffer
-
Preservative: 0.03 % Proclin 300
Constituents: 50 % Glycerol, 0.01M PBS, pH 7.4 -
Preservative
- ProClin
-
Precaution of Use
- This product contains ProClin: a POISONOUS AND HAZARDOUS SUBSTANCE which should be handled by trained staff only.
-
Storage
- -20 °C,-80 °C
-
Storage Comment
- Upon receipt, store at -20°C or -80°C. Avoid repeated freeze.
-
-
- AGPAT5 (1-Acylglycerol-3-Phosphate O-Acyltransferase 5 (Lysophosphatidic Acid Acyltransferase, Epsilon) (AGPAT5))
-
Alternative Name
- AGPAT5
-
Background
-
Background: Converts lysophosphatidic acid (LPA) into phosphatidic acid by incorporating an acyl moiety at the sn-2 position of the glycerol backbone. Acts on LPA containing saturated or unsaturated fatty acids C15:0-C20:4 at the sn-1 position using C18:1-CoA as the acyl donor. Also acts on lysophosphatidylethanolamine using oleoyl-CoA, but not arachidonoyl-CoA, and lysophosphatidylinositol using arachidonoyl-CoA, but not oleoyl-CoA. Activity toward lysophosphatidylglycerol not detectable.
Aliases: 1 acyl sn glycerol 3 phosphate acyltransferase epsilon antibody, 1 acylglycerol 3 phosphate O acyltransferase 5 antibody, 1 AGP acyltransferase 5 antibody, 1 AGPAT 5 antibody, 1 AGPAT5 antibody, 1-acyl-sn-glycerol-3-phosphate acyltransferase epsilon antibody, 1-acylglycerol-3-phosphate O-acyltransferase 5 (lysophosphatidic acid acyltransferase, epsilon) antibody, 1-acylglycerol-3-phosphate O-acyltransferase 5 antibody, 1-AGP acyltransferase 5 antibody, 1-AGPAT 5 antibody, 1acylglycerol3phosphate Oacyltransferase 5 (lysophosphatidic acid acyltransferase, epsilon) antibody, 1acylglycerol3phosphate Oacyltransferase 5 antibody, 1acylglycerol3phosphate Oacyltransferase5 (lysophosphatidic acid acyltransferase, epsilon) antibody, 1AGP acyltransferase 5 antibody, 1AGPAT5 antibody, AGPAT5 antibody, LPAAT e antibody, LPAAT epsilon antibody, LPAAT-epsilon antibody, LPAATE antibody, Lysophosphatidic acid acyltransferase epsilon antibody, PLCE_HUMAN antibody
-
UniProt
- Q9NUQ2
Target
-