Phone:
+1 877 302 8632
Fax:
+1 888 205 9894 (Toll-free)
E-Mail:
orders@antibodies-online.com

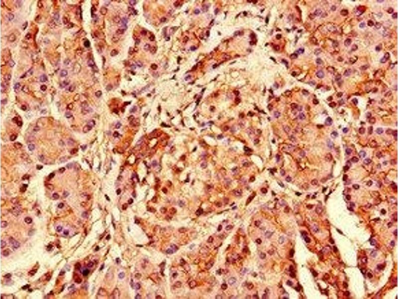
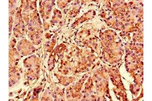
RPS26 antibody (AA 2-115)

The Rabbit Polyclonal anti-RPS26 antibody (ABIN7142536) specifically detects RPS26 in ELISA and IHC. The antibody is reactive with Human samples.
Catalog No. ABIN7142536
$394.68
Plus shipping costs $50.00
Shipping to: United States
Delivery in 13 to 17 Business Days

Quick Overview for RPS26 antibody (AA 2-115) (ABIN7142536)

Target

See all RPS26 Antibodies
RPS26 (Ribosomal Protein S26 (RPS26))

Reactivity

  • 19
  • 2
  • 2
Human

Host

  • 19
Rabbit

Clonality

  • 19
Polyclonal

Conjugate

  • 10
  • 3
  • 2
  • 2
  • 1
  • 1
This RPS26 antibody is un-conjugated

Application

  • 14
  • 12
  • 2
  • 2
  • 1
  • 1
ELISA, Immunohistochemistry (IHC)
  • Binding Specificity

    • 9
    • 4
    • 3
    • 1
    • 1
    AA 2-115

    Purpose

    RPS26 Antibody

    Purification

    Protein G purified

    Purity

    >95 %

    Immunogen

    Recombinant Human 40S ribosomal protein S26 protein (2-115AA)

    Isotype

    IgG
  • Application Notes

    Optimal working dilution should be determined by the investigator.

    Restrictions

    For Research Use only
  • Format

    Liquid

    Buffer

    Preservative: 0.03 % Proclin 300
    Constituents: 50 % Glycerol, 0.01M PBS, PH 7.4

    Preservative

    ProClin

    Precaution of Use

    This product contains ProClin: a POISONOUS AND HAZARDOUS SUBSTANCE which should be handled by trained staff only.

    Storage

    -20 °C,-80 °C

    Storage Comment

    Upon receipt, store at -20°C or -80°C. Avoid repeated freeze.
  • Target

    RPS26 (Ribosomal Protein S26 (RPS26))

    Alternative Name

    RPS26

    Background

    Background: cytoplasm, cytosol, cytosolic small ribosomal subunit, extracellular exosome, membrane, nucleolus, small ribosomal subunit, mRNA binding, poly(A) RNA binding, structural constituent of ribosome

    Aliases: 40S ribosomal protein S26 antibody, Ribosomal protein S26 antibody, RPS26 antibody, RS26_HUMAN antibody

    UniProt

    P62854
You are here:
Chat with us!