Phone:
+1 877 302 8632
Fax:
+1 888 205 9894 (Toll-free)
E-Mail:
orders@antibodies-online.com

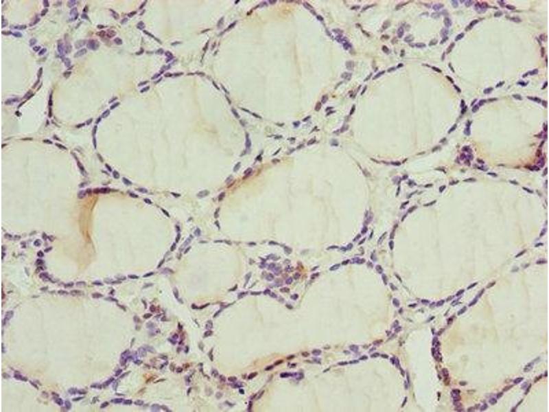
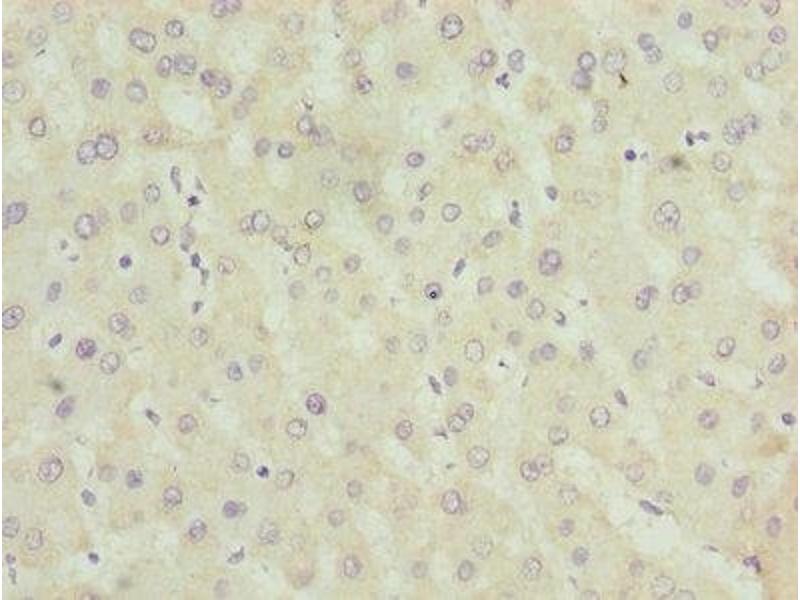
ALAS2 antibody (AA 50-587)

The Rabbit Polyclonal anti-ALAS2 antibody (ABIN7142596) specifically detects ALAS2 in WB, ELISA and IHC. The antibody is reactive with Human samples.
Catalog No. ABIN7142596
$394.68
Plus shipping costs $50.00
Shipping to: United States
Delivery in 13 to 17 Business Days

Quick Overview for ALAS2 antibody (AA 50-587) (ABIN7142596)

Target

See all ALAS2 Antibodies
ALAS2 (Aminolevulinate, delta-, Synthase 2 (ALAS2))

Reactivity

  • 67
  • 48
  • 43
  • 7
  • 6
  • 5
  • 4
  • 4
  • 3
  • 3
  • 3
  • 3
  • 1
  • 1
  • 1
Human

Host

  • 58
  • 9
Rabbit

Clonality

  • 47
  • 20
Polyclonal

Conjugate

  • 27
  • 4
  • 3
  • 3
  • 3
  • 3
  • 3
  • 3
  • 3
  • 2
  • 1
  • 1
  • 1
  • 1
  • 1
  • 1
  • 1
  • 1
  • 1
  • 1
  • 1
  • 1
  • 1
This ALAS2 antibody is un-conjugated

Application

  • 50
  • 13
  • 12
  • 9
  • 7
  • 4
  • 3
  • 2
  • 2
Western Blotting (WB), ELISA, Immunohistochemistry (IHC)
  • Binding Specificity

    • 4
    • 3
    • 3
    • 2
    • 2
    • 2
    • 1
    • 1
    • 1
    • 1
    • 1
    • 1
    • 1
    • 1
    AA 50-587

    Purpose

    ALAS2 Antibody

    Purification

    Protein G purified

    Purity

    >95 %

    Immunogen

    Recombinant Human 5-aminolevulinate synthase, erythroid-specific, mitochondrial protein (50-587AA)

    Isotype

    IgG
  • Application Notes

    Optimal working dilution should be determined by the investigator.

    Restrictions

    For Research Use only
  • Format

    Liquid

    Buffer

    Preservative: 0.03 % Proclin 300
    Constituents: 50 % Glycerol, 0.01M PBS, PH 7.4

    Preservative

    ProClin

    Precaution of Use

    This product contains ProClin: a POISONOUS AND HAZARDOUS SUBSTANCE which should be handled by trained staff only.

    Storage

    -20 °C,-80 °C

    Storage Comment

    Upon receipt, store at -20°C or -80°C. Avoid repeated freeze.
  • Target

    ALAS2 (Aminolevulinate, delta-, Synthase 2 (ALAS2))

    Alternative Name

    ALAS2

    Background

    Background: mitochondrial inner membrane, mitochondrial matrix, mitochondrion, 5-aminolevulinate synthase activity, coenzyme binding, glycine binding, cellular iron ion homeostasis, erythrocyte differentiation, heme biosynthetic process, hemoglobin biosynthetic process

    Aliases: 5 @aminolevulinate synthase erythroid specific antibody, 5 aminolevulinate synthase 2 antibody, 5 aminolevulinate synthase 5 aminolevulinate synthase 2 antibody, 5 aminolevulinate synthase erythroid specific mitochondrial antibody, 5 aminolevulinic acid synthase 2 antibody, 5 aminolevulinic acid synthase antibody, 5-aminolevulinate synthase antibody, 5-aminolevulinic acid synthase 2 antibody, Alas 2 antibody, ALAS antibody, ALAS E antibody, ALAS, erythroid antibody, ALAS-E antibody, Alas2 antibody, ALASE antibody, Aminolevulinate delta synthase 2 antibody, Aminolevulinic acid synthase 2, erythroid antibody, ANH1 antibody, ASB antibody, Delta ALA synthase 2 antibody, Delta ALA synthetase antibody, Delta aminolevulinate synthase 2 antibody, Delta aminolevulinate synthase antibody, Delta-ALA synthase 2 antibody, Delta-aminolevulinate synthase 2 antibody, Erythroid specific ALAS antibody, erythroid-specific antibody, FLJ93603 antibody, HEM0_HUMAN antibody, mitochondrial antibody, OTTHUMP00000023388 antibody, OTTHUMP00000023389 antibody, OTTMUSP00000020679 antibody, RP23-338A17.1 antibody, SIDBA1 antibody, XLDPP antibody, XLEPP antibody, XLSA antibody

    UniProt

    P22557

    Pathways

    Transition Metal Ion Homeostasis
You are here:
Chat with us!