Phone:
+1 877 302 8632
Fax:
+1 888 205 9894 (Toll-free)
E-Mail:
orders@antibodies-online.com

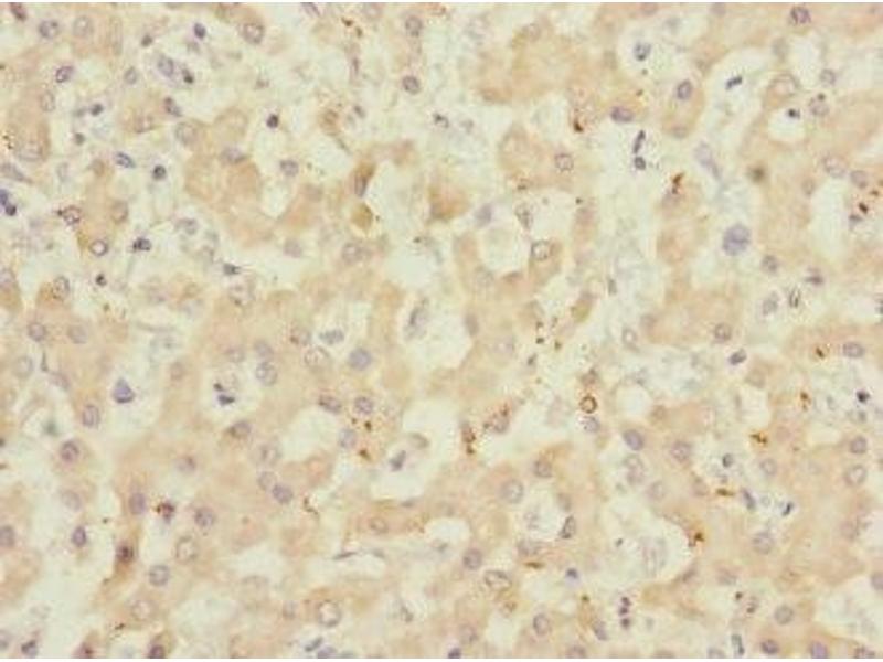
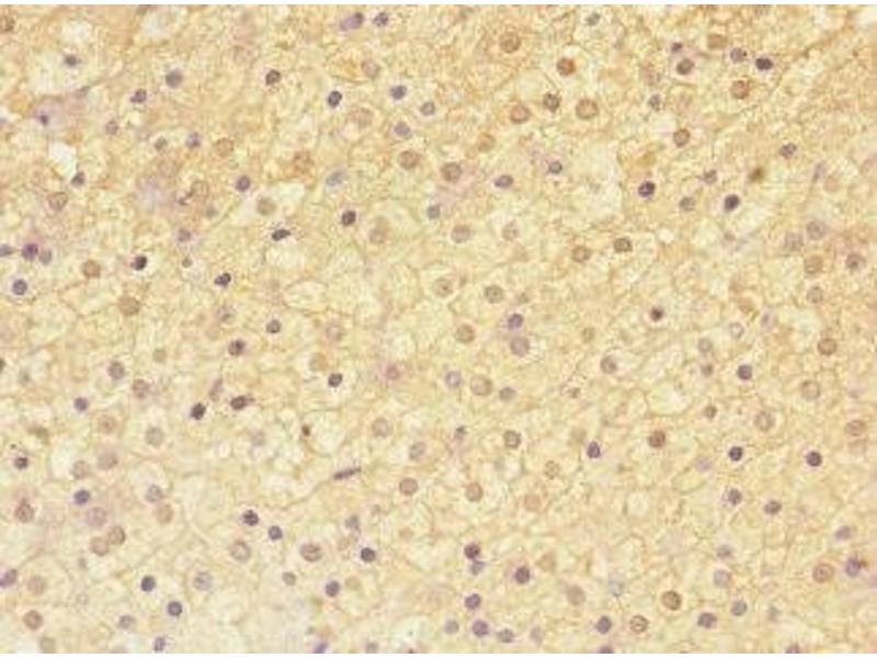
ADAMTSL4 antibody (AA 795-1074)

The Rabbit Polyclonal anti-ADAMTSL4 antibody (ABIN7143271) specifically detects ADAMTSL4 in ELISA and IHC. The antibody is reactive with Human samples.
Catalog No. ABIN7143271
$394.68
Plus shipping costs $50.00
Shipping to: United States
Delivery in 13 to 17 Business Days

Quick Overview for ADAMTSL4 antibody (AA 795-1074) (ABIN7143271)

Target

See all ADAMTSL4 Antibodies
ADAMTSL4 (ADAMTS-Like 4 (ADAMTSL4))

Reactivity

  • 17
  • 8
  • 2
Human

Host

  • 20
  • 3
Rabbit

Clonality

  • 22
  • 1
Polyclonal

Conjugate

  • 9
  • 1
  • 1
  • 1
  • 1
  • 1
  • 1
  • 1
  • 1
  • 1
  • 1
  • 1
  • 1
  • 1
  • 1
This ADAMTSL4 antibody is un-conjugated

Application

  • 22
  • 13
  • 13
  • 7
  • 3
  • 3
  • 3
  • 3
  • 1
ELISA, Immunohistochemistry (IHC)
  • Binding Specificity

    • 15
    • 3
    • 1
    AA 795-1074

    Purpose

    ADAMTSL4 Antibody

    Purification

    Antigen Affinity Purified

    Immunogen

    Recombinant Human ADAMTS-like protein 4 protein (795-1074AA)

    Isotype

    IgG
  • Application Notes

    Optimal working dilution should be determined by the investigator.

    Restrictions

    For Research Use only
  • Format

    Liquid

    Buffer

    PBS with 0.02 % sodium azide, 50 % glycerol, pH 7.3.

    Preservative

    Sodium azide

    Precaution of Use

    This product contains Sodium azide: a POISONOUS AND HAZARDOUS SUBSTANCE which should be handled by trained staff only.

    Storage

    -20 °C,-80 °C

    Storage Comment

    Upon receipt, store at -20°C or -80°C. Avoid repeated freeze.
  • Target

    ADAMTSL4 (ADAMTS-Like 4 (ADAMTSL4))

    Alternative Name

    ADAMTSL4

    Background

    Background: Positive regulation of apoptosis. May facilitate FBN1 microfibril biogenesis.

    Aliases: ADAMTSL4 antibody, TSRC1 antibody, PP1396 antibody, UNQ2803/PRO34012ADAMTS-like protein 4 antibody, ADAMTSL-4 antibody, Thrombospondin repeat-containing protein 1 antibody

    UniProt

    Q6UY14
You are here:
Chat with us!