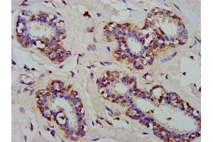
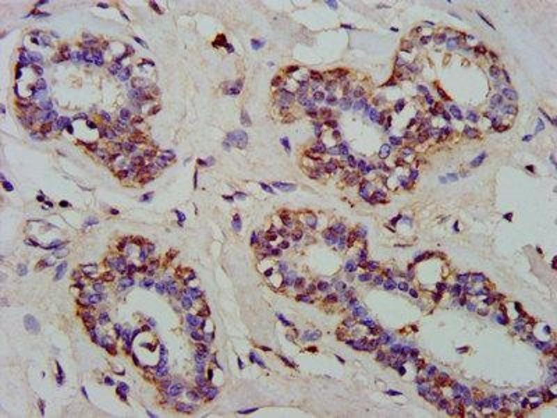
ARFRP1 antibody (AA 1-201)
Quick Overview for ARFRP1 antibody (AA 1-201) (ABIN7143526)
Target
See all ARFRP1 AntibodiesReactivity
Host
Clonality
Conjugate
Application
-
-
Binding Specificity
- AA 1-201
-
Purpose
- ARFRP1 Antibody
-
Purification
- Protein G purified
-
Purity
- >95 %
-
Immunogen
- Recombinant Human ADP-ribosylation factor-related protein 1 protein (1-201AA)
-
Isotype
- IgG
-
-
-
-
Application Notes
- Optimal working dilution should be determined by the investigator.
-
Restrictions
- For Research Use only
-
-
-
Format
- Liquid
-
Buffer
-
Preservative: 0.03 % Proclin 300
Constituents: 50 % Glycerol, 0.01M PBS, pH 7.4 -
Preservative
- ProClin
-
Precaution of Use
- This product contains ProClin: a POISONOUS AND HAZARDOUS SUBSTANCE which should be handled by trained staff only.
-
Storage
- -20 °C,-80 °C
-
Storage Comment
- Upon receipt, store at -20°C or -80°C. Avoid repeated freeze.
-
-
- ARFRP1 (ADP-Ribosylation Factor Related Protein 1 (ARFRP1))
-
Alternative Name
- ARFRP1
-
Background
-
Background: Trans-Golgi-associated GTPase that regulates protein sorting. Controls the targeting of ARL1 and its effector to the trans-Golgi. Required for the lipidation of chylomicrons in the intestine and required for VLDL lipidation in the liver.
Aliases: ADP ribosylation factor related protein 1 antibody, ADP-ribosylation factor-related protein 1 antibody, ARF related protein 1 antibody, ARF related protein antibody, ARF-related protein 1 antibody, ARFRP_HUMAN antibody, ARFRP1 antibody, ARL 18 antibody, ARL18 antibody, ARP 1 antibody, ARP antibody, ARP1 antibody, Helicase like protein NHL antibody, MGC6837 antibody, SCG10 like protein antibody
-
UniProt
- Q13795
Target
-