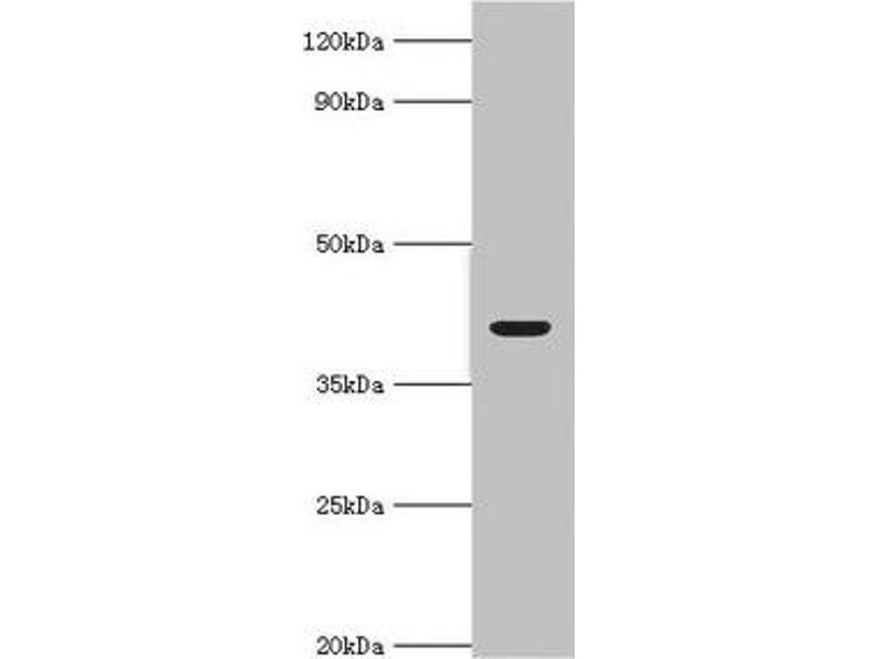
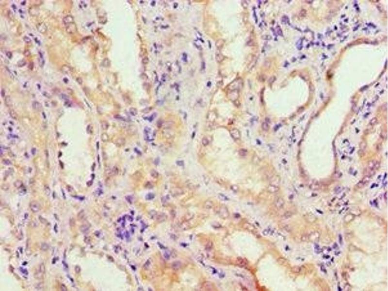
ADH4 antibody (AA 1-380)
Quick Overview for ADH4 antibody (AA 1-380) (ABIN7143650)
Target
See all ADH4 AntibodiesReactivity
Host
Clonality
Conjugate
Application
-
-
Binding Specificity
- AA 1-380
-
Purpose
- ADH4 Antibody
-
Cross-Reactivity
- Mouse
-
Purification
- Antigen Affinity Purified
-
Immunogen
- Recombinant Human Alcohol dehydrogenase 4 protein (1-380AA)
-
Isotype
- IgG
-
-
-
-
Application Notes
- Optimal working dilution should be determined by the investigator.
-
Restrictions
- For Research Use only
-
-
-
Format
- Liquid
-
Buffer
- PBS with 0.02 % sodium azide, 50 % glycerol, pH 7.3.
-
Preservative
- Sodium azide
-
Precaution of Use
- This product contains Sodium azide: a POISONOUS AND HAZARDOUS SUBSTANCE which should be handled by trained staff only.
-
Storage
- -20 °C,-80 °C
-
Storage Comment
- Upon receipt, store at -20°C or -80°C. Avoid repeated freeze.
-
-
- ADH4 (Alcohol Dehydrogenase 4 (Class II), pi Polypeptide (ADH4))
-
Alternative Name
- ADH4
-
Background
-
Background: This gene encodes class II alcohol dehydrogenase 4 pi subunit, which is a member of the alcohol dehydrogenase family. Members of this enzyme family metabolize a wide variety of substrates, including ethanol, retinol, other aliphatic alcohols, hydroxysteroids, and lipid peroxidation products. Class II alcohol dehydrogenase is a homodimer composed of 2 pi subunits. It exhibits a high activity for oxidation of long-chain aliphatic alcohols and aromatic alcohols and is less sensitive to pyrazole. This gene is localized to chromosome 4 in the cluster of alcohol dehydrogenase genes.
Aliases: Ac1002 antibody, ADH 4 antibody, ADH-1 antibody, ADH-2 antibody, ADH2 antibody, Adh4 antibody, ADH4_HUMAN antibody, Alcohol dehydrogenase 4 (class II) pi polypeptide antibody, Alcohol dehydrogenase 4 antibody, Alcohol dehydrogenase class II pi chain antibody, Alcohol dehydrogenase pi isozyme ADH class II antibody, Aldehyde reductase antibody, Class II alcohol dehydrogenase 4 pi subunit antibody
-
UniProt
- P08319
-
Pathways
- Transition Metal Ion Homeostasis
Target
-