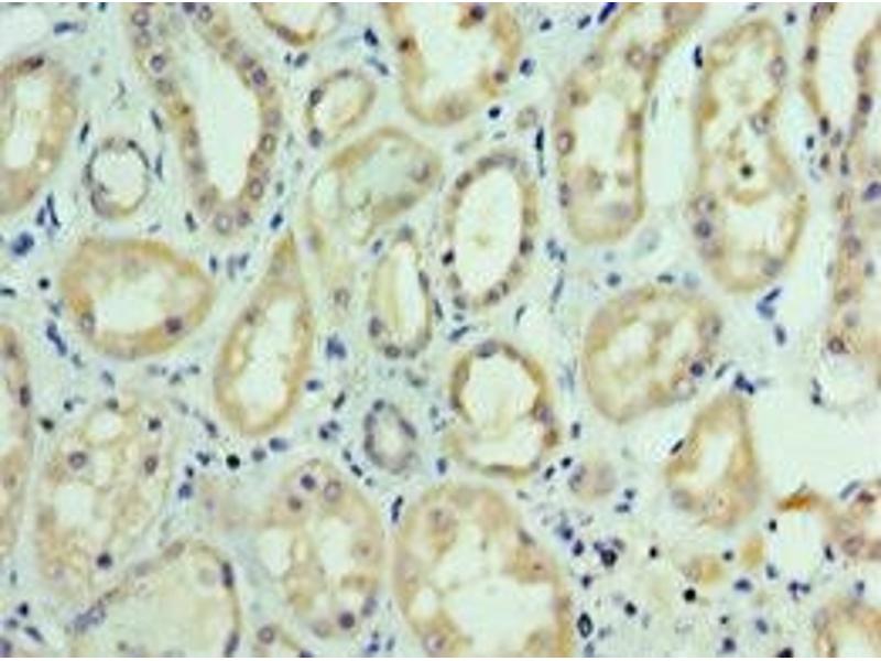
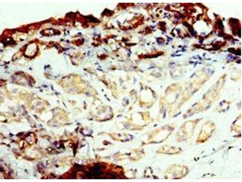
FUT6 antibody (AA 170-359)
Quick Overview for FUT6 antibody (AA 170-359) (ABIN7143737)
Target
See all FUT6 AntibodiesReactivity
Host
Clonality
Conjugate
Application
-
-
Binding Specificity
- AA 170-359
-
Purpose
- FUT6 Antibody
-
Purification
- Antigen Affinity Purified
-
Immunogen
- Recombinant Human Alpha-(1,3)-fucosyltransferase 6 protein (170-359AA)
-
Isotype
- IgG
-
-
-
-
Application Notes
- Optimal working dilution should be determined by the investigator.
-
Restrictions
- For Research Use only
-
-
-
Format
- Liquid
-
Buffer
- PBS with 0.02 % sodium azide, 50 % glycerol, pH 7.3.
-
Preservative
- Sodium azide
-
Precaution of Use
- This product contains Sodium azide: a POISONOUS AND HAZARDOUS SUBSTANCE which should be handled by trained staff only.
-
Storage
- -20 °C,-80 °C
-
Storage Comment
- Upon receipt, store at -20°C or -80°C. Avoid repeated freeze.
-
-
- FUT6 (Fucosyltransferase 6 (Alpha (1,3) Fucosyltransferase) (FUT6))
-
Alternative Name
- FUT6
-
Background
-
Background: Enzyme involved in the biosynthesis of the E-Selectin ligand, sialyl-Lewis X. Catalyzes the transfer of fucose from GDP-beta-fucose to alpha-2,3 sialylated substrates.
Aliases: FUT6 antibody, FCT3AAlpha-(1,3)-fucosyltransferase 6 antibody, EC 2.4.1.65 antibody, Fucosyltransferase 6 antibody, Fucosyltransferase VI antibody, Fuc-TVI antibody, FucT-VI antibody, Galactoside 3-L-fucosyltransferase antibody
-
UniProt
- P51993
Target
-