Phone:
+1 877 302 8632
Fax:
+1 888 205 9894 (Toll-free)
E-Mail:
orders@antibodies-online.com

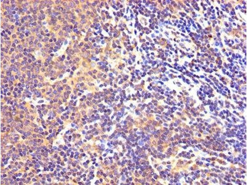
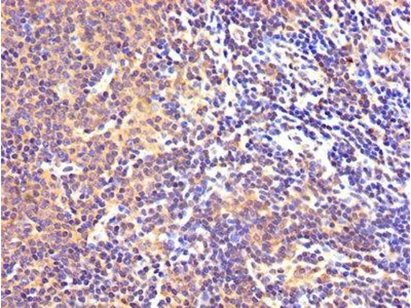
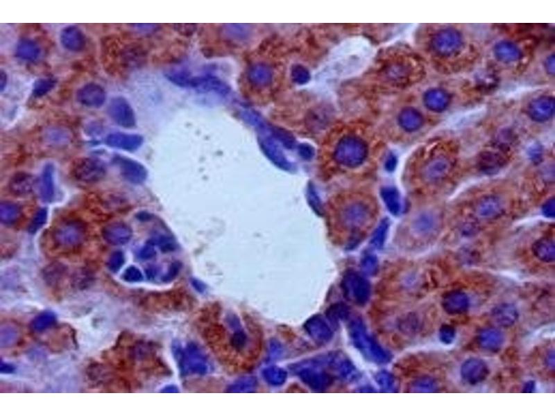
Monoamine Oxidase B antibody (AA 2-489)

This Rabbit Polyclonal antibody specifically detects Monoamine Oxidase B in WB, IHC and ELISA. It exhibits reactivity toward Human.
Catalog No. ABIN7143989
$394.68
Plus shipping costs $50.00
Shipping to: United States
Delivery in 13 to 17 Business Days

Quick Overview for Monoamine Oxidase B antibody (AA 2-489) (ABIN7143989)

Target

See all Monoamine Oxidase B (MAOB) Antibodies
Monoamine Oxidase B (MAOB)

Reactivity

  • 68
  • 35
  • 16
  • 5
  • 4
  • 3
  • 3
  • 3
  • 3
  • 2
  • 2
  • 1
Human

Host

  • 68
  • 3
  • 1
  • 1
Rabbit

Clonality

  • 54
  • 19
Polyclonal

Conjugate

  • 32
  • 4
  • 4
  • 3
  • 3
  • 3
  • 3
  • 3
  • 3
  • 2
  • 1
  • 1
  • 1
  • 1
  • 1
  • 1
  • 1
  • 1
  • 1
  • 1
  • 1
  • 1
  • 1
This Monoamine Oxidase B antibody is un-conjugated

Application

  • 57
  • 26
  • 17
  • 13
  • 13
  • 12
  • 7
  • 4
  • 3
  • 3
  • 1
  • 1
Western Blotting (WB), Immunohistochemistry (IHC), ELISA
  • Binding Specificity

    • 15
    • 5
    • 4
    • 4
    • 4
    • 3
    • 2
    • 1
    • 1
    • 1
    • 1
    • 1
    • 1
    AA 2-489

    Purpose

    MAOB Antibody

    Cross-Reactivity

    Mouse

    Purification

    Protein G purified

    Purity

    >95 %

    Immunogen

    Recombinant Human Amine oxidase [flavin-containing] B protein (2-489AA)

    Isotype

    IgG
  • Application Notes

    Optimal working dilution should be determined by the investigator.

    Restrictions

    For Research Use only
  • Format

    Liquid

    Buffer

    Preservative: 0.03 % Proclin 300
    Constituents: 50 % Glycerol, 0.01M PBS, PH 7.4

    Preservative

    ProClin

    Precaution of Use

    This product contains ProClin: a POISONOUS AND HAZARDOUS SUBSTANCE which should be handled by trained staff only.

    Storage

    -20 °C,-80 °C

    Storage Comment

    Upon receipt, store at -20°C or -80°C. Avoid repeated freeze.
  • Target

    Monoamine Oxidase B (MAOB)

    Alternative Name

    MAOB

    Background

    Background: Catalyzes the oxidative deamination of biogenic and xenobiotic amines and has important functions in the metabolism of neuroactive and vasoactive amines in the central nervous system and peripheral tissues. MAOB preferentially degrades benzylamine and phenylethylamine.

    Aliases: Adrenalin oxidase antibody, Amine oxidase (flavin containing) antibody, Amine oxidase [flavin-containing] B antibody, AOFB_HUMAN antibody, MAO, brain antibody, MAO, platelet antibody, MAO-B antibody, MAOB antibody, MGC26382 antibody, Monoamine oxidase B antibody, Monoamine oxidase type B antibody, OTTHUMP00000023166 antibody, Tyramine oxidase antibody

    UniProt

    P27338
You are here:
Chat with us!