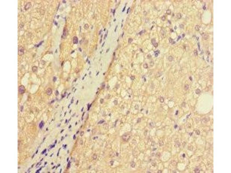
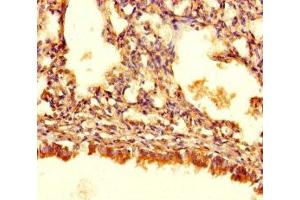
ASB10 antibody (AA 1-300)
Quick Overview for ASB10 antibody (AA 1-300) (ABIN7144175)
Target
See all ASB10 AntibodiesReactivity
Host
Clonality
Conjugate
Application
-
-
Binding Specificity
- AA 1-300
-
Purpose
- ASB10 Antibody
-
Purification
- Protein G purified
-
Purity
- >95 %
-
Immunogen
- Recombinant Human Ankyrin repeat and SOCS box protein 10 protein (1-300AA)
-
Isotype
- IgG
-
-
-
-
Application Notes
- Optimal working dilution should be determined by the investigator.
-
Restrictions
- For Research Use only
-
-
-
Format
- Liquid
-
Buffer
-
Preservative: 0.03 % Proclin 300
Constituents: 50 % Glycerol, 0.01M PBS, PH 7.4 -
Preservative
- ProClin
-
Precaution of Use
- This product contains ProClin: a POISONOUS AND HAZARDOUS SUBSTANCE which should be handled by trained staff only.
-
Storage
- -20 °C,-80 °C
-
Storage Comment
- Upon receipt, store at -20°C or -80°C. Avoid repeated freeze.
-
-
- ASB10 (Ankyrin Repeat and SOCS Box-Containing 10 (ASB10))
-
Alternative Name
- ASB10
-
Background
-
Background: May be a substrate-recognition component of a SCF-like ECS (Elongin-Cullin-SOCS-box protein) E3 ubiquitin-protein ligase complex which mediates the ubiquitination and subsequent proteasomal degradation of target proteins.
Aliases: ASB10Ankyrin repeat and SOCS box protein 10 antibody, ASB-10 antibody
-
UniProt
- Q8WXI3
Target
-