Phone:
+1 877 302 8632
Fax:
+1 888 205 9894 (Toll-free)
E-Mail:
orders@antibodies-online.com

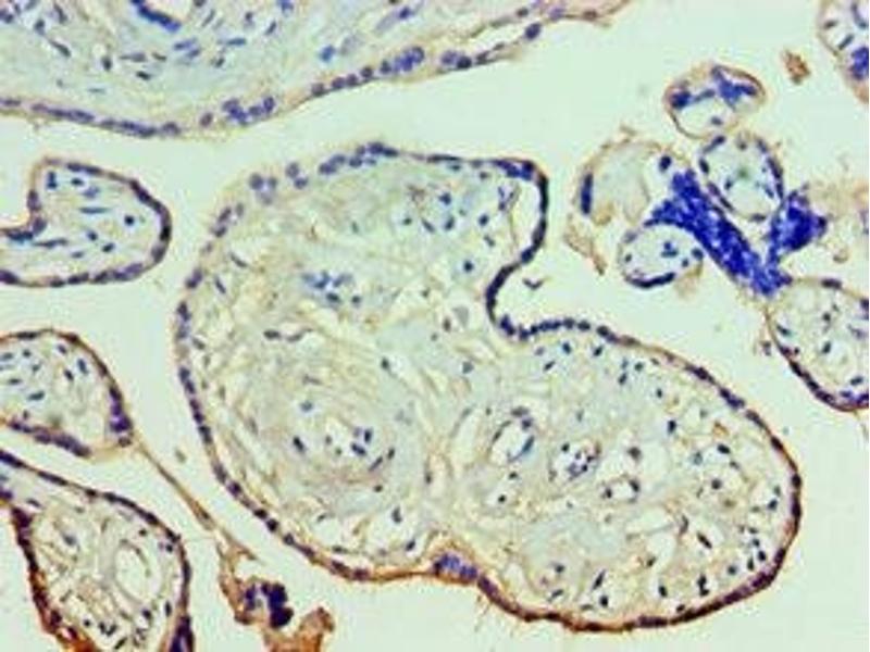
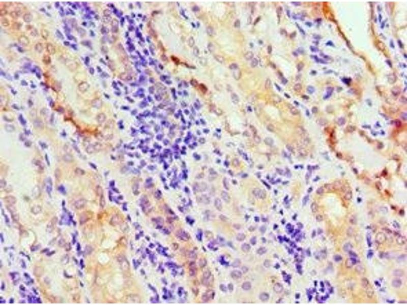
Annexin A11 antibody (AA 276-505)

The Rabbit Polyclonal anti-Annexin A11 antibody is suitable to detect Annexin A11 in samples from Human. It has been validated for WB, IHC, ELISA and IF.
Catalog No. ABIN7144263
$792.00
Plus shipping costs $50.00
Shipping to: United States
Delivery in 13 to 17 Business Days

Quick Overview for Annexin A11 antibody (AA 276-505) (ABIN7144263)

Target

See all Annexin A11 (ANXA11) Antibodies
Annexin A11 (ANXA11)

Reactivity

  • 42
  • 6
  • 5
  • 3
  • 2
  • 2
  • 2
  • 2
  • 2
  • 1
  • 1
  • 1
  • 1
  • 1
  • 1
Human

Host

  • 35
  • 5
  • 3
Rabbit

Clonality

  • 40
  • 3
Polyclonal

Conjugate

  • 23
  • 3
  • 2
  • 1
  • 1
  • 1
  • 1
  • 1
  • 1
  • 1
  • 1
  • 1
  • 1
  • 1
  • 1
  • 1
  • 1
  • 1
This Annexin A11 antibody is un-conjugated

Application

  • 37
  • 13
  • 13
  • 11
  • 9
  • 7
  • 6
  • 5
  • 4
  • 3
  • 3
  • 2
  • 2
Western Blotting (WB), Immunohistochemistry (IHC), ELISA, Immunofluorescence (IF)
  • Binding Specificity

    • 15
    • 11
    • 3
    • 2
    • 2
    • 1
    • 1
    • 1
    AA 276-505

    Purpose

    ANXA11 Antibody

    Purification

    Antigen Affinity Purified

    Immunogen

    Recombinant Human Annexin A11 protein (276-505AA)

    Isotype

    IgG
  • Application Notes

    Optimal working dilution should be determined by the investigator.

    Restrictions

    For Research Use only
  • Format

    Liquid

    Buffer

    PBS with 0.02 % sodium azide, 50 % glycerol, pH 7.3.

    Preservative

    Sodium azide

    Precaution of Use

    This product contains Sodium azide: a POISONOUS AND HAZARDOUS SUBSTANCE which should be handled by trained staff only.

    Storage

    -20 °C,-80 °C

    Storage Comment

    Upon receipt, store at -20°C or -80°C. Avoid repeated freeze.
  • Target

    Annexin A11 (ANXA11)

    Alternative Name

    ANXA11

    Background

    Background: Binds specifically to calcyclin in a calcium-dependent manner (By similarity). Required for midbody formation and completion of the terminal phase of cytokinesis.

    Aliases: 56 kDa autoantigen antibody, Annexin A11 antibody, Annexin XI antibody, Annexin-11 antibody, AnnexinA11 antibody, AnnexinXI antibody, ANX 11 antibody, ANX A11 antibody, ANX11 antibody, ANX11_HUMAN antibody, ANXA 11 antibody, ANXA11 antibody, Autoantigen 56 kD antibody, Calcyclin associated annexin 50 antibody, Calcyclin-associated annexin 50 antibody, CAP 50 antibody, CAP-50 antibody, CAP50 antibody, OTTHUMP00000059806 antibody

    UniProt

    P50995
You are here:
Chat with us!