Phone:
+1 877 302 8632
Fax:
+1 888 205 9894 (Toll-free)
E-Mail:
orders@antibodies-online.com

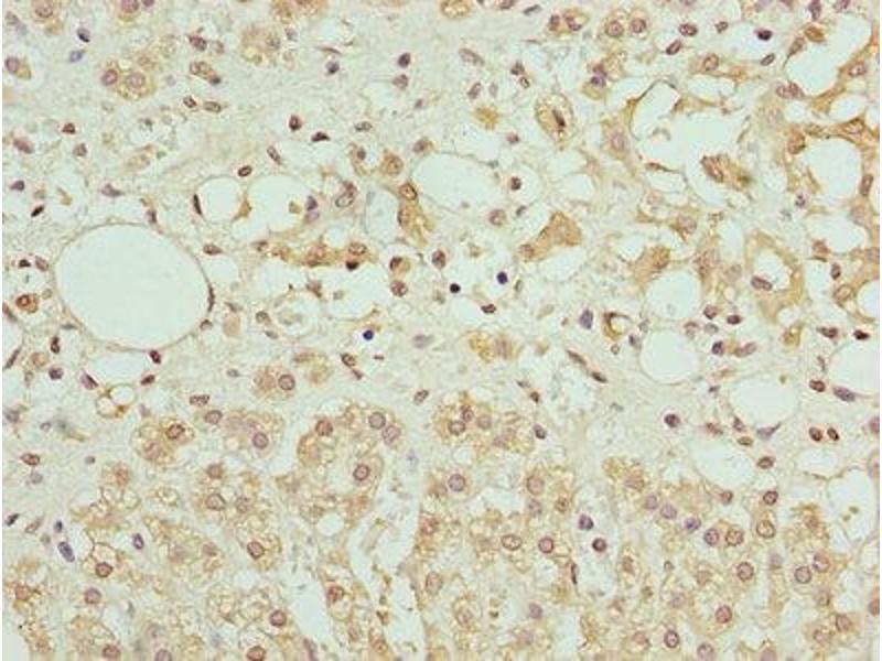
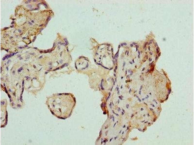
Antizyme Inhibitor 1 antibody (AA 101-400)

The Rabbit Polyclonal anti-Antizyme Inhibitor 1 antibody is suitable to detect Antizyme Inhibitor 1 in samples from Human. It has been validated for WB, IHC and ELISA.
Catalog No. ABIN7144341
$394.68
Plus shipping costs $50.00
Shipping to: United States
Delivery in 13 to 17 Business Days

Quick Overview for Antizyme Inhibitor 1 antibody (AA 101-400) (ABIN7144341)

Target

See all Antizyme Inhibitor 1 (AZIN1) Antibodies
Antizyme Inhibitor 1 (AZIN1)

Reactivity

  • 14
  • 4
  • 4
Human

Host

  • 13
  • 2
Rabbit

Clonality

  • 13
  • 2
Polyclonal

Conjugate

  • 11
  • 2
  • 1
  • 1
This Antizyme Inhibitor 1 antibody is un-conjugated

Application

  • 10
  • 8
  • 6
  • 1
  • 1
  • 1
Western Blotting (WB), Immunohistochemistry (IHC), ELISA
  • Binding Specificity

    • 5
    • 2
    • 2
    • 1
    • 1
    • 1
    AA 101-400

    Purpose

    AZIN1 Antibody

    Cross-Reactivity

    Mouse

    Purification

    Protein G purified

    Purity

    >95 %

    Immunogen

    Recombinant Human Antizyme inhibitor 1 protein (101-400AA)

    Isotype

    IgG
  • Application Notes

    Optimal working dilution should be determined by the investigator.

    Restrictions

    For Research Use only
  • Format

    Liquid

    Buffer

    Preservative: 0.03 % Proclin 300
    Constituents: 50 % Glycerol, 0.01M PBS, PH 7.4

    Preservative

    ProClin

    Precaution of Use

    This product contains ProClin: a POISONOUS AND HAZARDOUS SUBSTANCE which should be handled by trained staff only.

    Storage

    -20 °C,-80 °C

    Storage Comment

    Upon receipt, store at -20°C or -80°C. Avoid repeated freeze.
  • Target

    Antizyme Inhibitor 1 (AZIN1)

    Alternative Name

    AZIN1

    Background

    Background: Antizyme inhibitor protein that positively regulates ornithine decarboxylase (ODC) activity and polyamine uptake by counteracting the negative effect of antizyme OAZ1, OAZ2 and OAZ3 on ODC1 activity (PubMed:17900240). Inhibits antizyme-dependent ODC degradation by binding to antizymes. Releases ODC1 from its inactive complex with antizymes, leading to formation of the catalytically active ODC1.

    Aliases: Antizyme inhibitor 1 antibody, AZI antibody, Azin1 antibody, AZIN1_HUMAN antibody, OAZI antibody, OAZIN antibody, ODC1L antibody, Ornithine decarboxylase antizyme inhibitor antibody

    UniProt

    O14977
You are here:
Chat with us!