Phone:
+1 877 302 8632
Fax:
+1 888 205 9894 (Toll-free)
E-Mail:
orders@antibodies-online.com

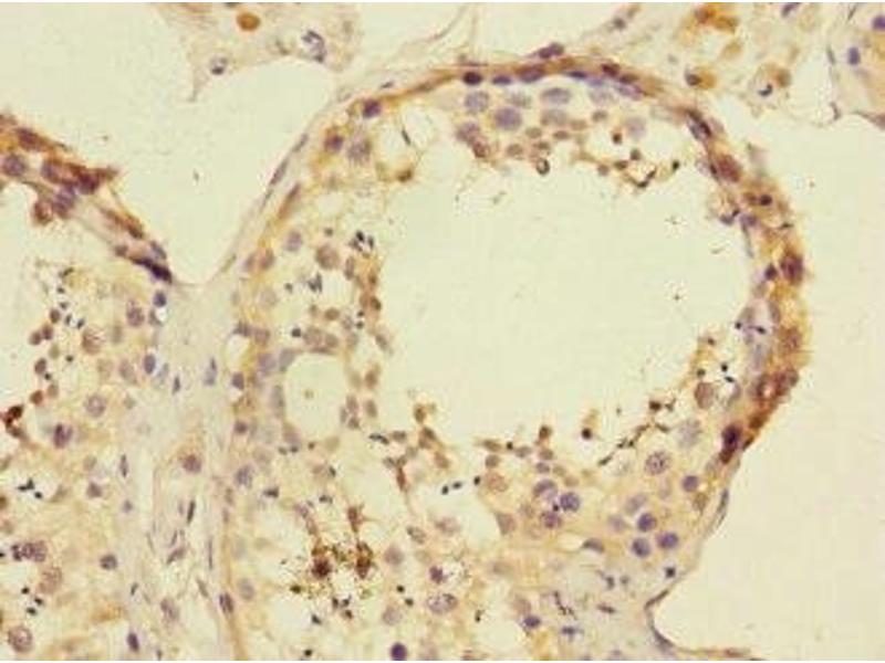
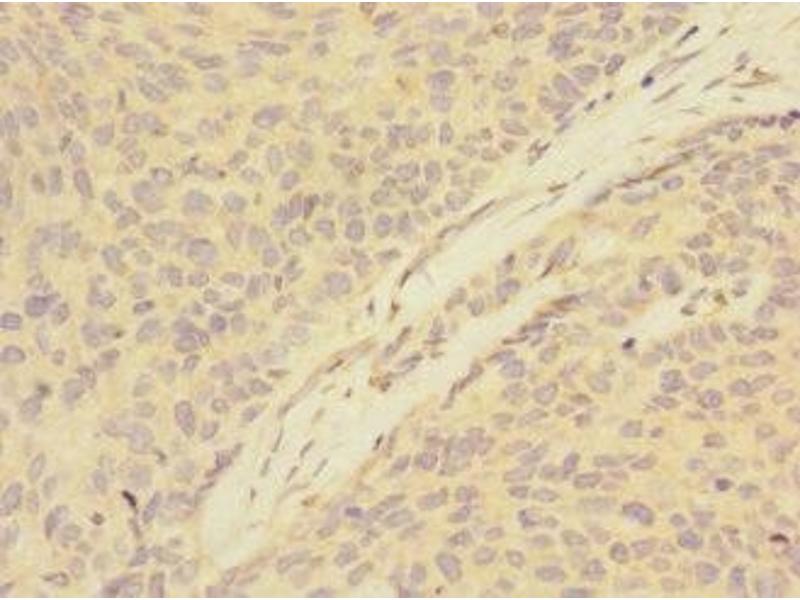
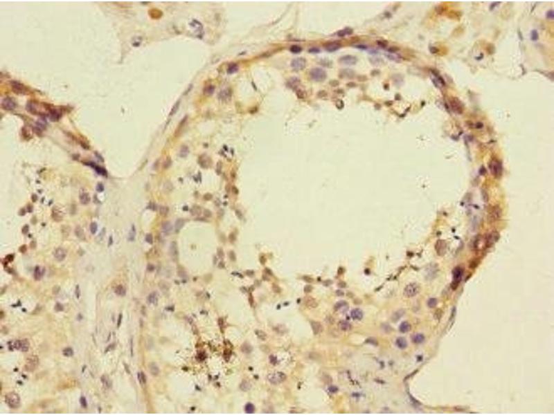
Ataxin 10 antibody (AA 346-475)

The Rabbit Polyclonal anti-Ataxin 10 antibody is suitable to detect Ataxin 10 in samples from Human. It has been validated for WB, IHC and ELISA.
Catalog No. ABIN7144788
$394.68
Plus shipping costs $50.00
Shipping to: United States
Delivery in 13 to 17 Business Days

Quick Overview for Ataxin 10 antibody (AA 346-475) (ABIN7144788)

Target

See all Ataxin 10 (ATXN10) Antibodies
Ataxin 10 (ATXN10)

Reactivity

  • 27
  • 27
  • 23
  • 3
  • 3
  • 2
  • 2
  • 2
  • 2
  • 2
Human

Host

  • 36
  • 3
Rabbit

Clonality

  • 39
  • 1
Polyclonal

Conjugate

  • 25
  • 1
  • 1
  • 1
  • 1
  • 1
  • 1
  • 1
  • 1
  • 1
  • 1
  • 1
  • 1
  • 1
  • 1
  • 1
This Ataxin 10 antibody is un-conjugated

Application

  • 35
  • 15
  • 13
  • 13
  • 10
  • 7
  • 5
  • 4
  • 3
  • 2
  • 1
  • 1
Western Blotting (WB), Immunohistochemistry (IHC), ELISA
  • Binding Specificity

    • 16
    • 5
    • 5
    • 2
    • 2
    • 2
    • 2
    • 1
    • 1
    • 1
    AA 346-475

    Purpose

    ATXN10 Antibody

    Purification

    Antigen Affinity Purified

    Immunogen

    Recombinant Human Ataxin-10 protein (346-475AA)

    Isotype

    IgG
  • Application Notes

    Optimal working dilution should be determined by the investigator.

    Restrictions

    For Research Use only
  • Format

    Liquid

    Buffer

    PBS with 0.02 % sodium azide, 50 % glycerol, pH 7.3.

    Preservative

    Sodium azide

    Precaution of Use

    This product contains Sodium azide: a POISONOUS AND HAZARDOUS SUBSTANCE which should be handled by trained staff only.

    Storage

    -20 °C,-80 °C

    Storage Comment

    Upon receipt, store at -20°C or -80°C. Avoid repeated freeze.
  • Target

    Ataxin 10 (ATXN10)

    Alternative Name

    ATXN10

    Background

    Background: Necessary for the survival of cerebellar neurons. Induces neuritogenesis by activating the Ras-MAP kinase pathway. May play a role in the maintenance of a critical intracellular glycosylation level and homeostasis.

    Aliases: Ataxin 10 antibody, Ataxin-10 antibody, ATX10_HUMAN antibody, Atxn10 antibody, Brain protein E46 homolog antibody, E46L antibody, FLJ37990 antibody, HUMEEP antibody, Like mouse brain protein E46 antibody, OTTHUMP00000197383 antibody, SCA10 antibody, Spinocerebellar ataxia 10 antibody, Spinocerebellar ataxia type 10 protein antibody

    UniProt

    Q9UBB4
You are here:
Chat with us!