Phone:
+1 877 302 8632
Fax:
+1 888 205 9894 (Toll-free)
E-Mail:
orders@antibodies-online.com

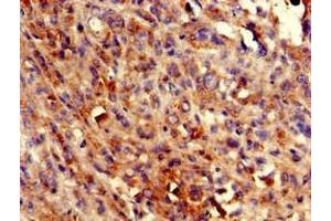
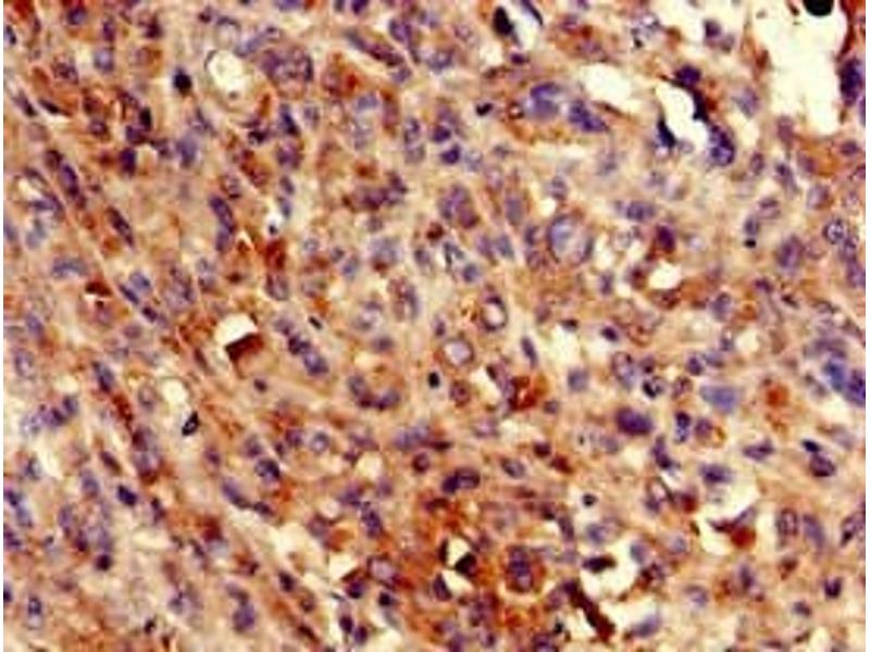
COQ8B antibody (AA 10-137)

The Rabbit Polyclonal anti-COQ8B antibody (ABIN7145071) specifically detects COQ8B in ELISA, IF, IHC and WB. The antibody is reactive with Human samples.
Catalog No. ABIN7145071
$394.68
Plus shipping costs $50.00
Shipping to: United States
Delivery in 13 to 17 Business Days

Quick Overview for COQ8B antibody (AA 10-137) (ABIN7145071)

Target

COQ8B (Atypical Kinase COQ8B, Mitochondrial (COQ8B))

Reactivity

  • 4
  • 1
  • 1
Human

Host

  • 4
Rabbit

Clonality

  • 4
Polyclonal

Conjugate

  • 1
  • 1
  • 1
  • 1
This COQ8B antibody is un-conjugated

Application

  • 3
  • 1
  • 1
  • 1
  • 1
ELISA, Immunofluorescence (IF), Immunohistochemistry (IHC), Western Blotting (WB)
  • Binding Specificity

    • 3
    • 1
    AA 10-137

    Purpose

    COQ8B Antibody

    Purification

    Protein G purified

    Purity

    >95 %

    Immunogen

    Recombinant Human Atypical kinase COQ8B, mitochondrial protein (10-137AA)

    Isotype

    IgG
  • Application Notes

    Optimal working dilution should be determined by the investigator.

    Restrictions

    For Research Use only
  • Format

    Liquid

    Buffer

    Preservative: 0.03 % Proclin 300
    Constituents: 50 % Glycerol, 0.01M PBS, pH 7.4

    Preservative

    ProClin

    Precaution of Use

    This product contains ProClin: a POISONOUS AND HAZARDOUS SUBSTANCE which should be handled by trained staff only.

    Storage

    -20 °C,-80 °C

    Storage Comment

    Upon receipt, store at -20°C or -80°C. Avoid repeated freeze.
  • Target

    COQ8B (Atypical Kinase COQ8B, Mitochondrial (COQ8B))

    Alternative Name

    COQ8B

    Background

    Background: May play a role in CoQ10 (COQ10A and/or COQ10B) biosynthesis, which is required for podocyte migration.

    Aliases: aarF domain containing protein kinase 4 antibody, ADCK4 antibody, ADCK4_HUMAN antibody, Atypical kinase COQ8B mitochondrial antibody, Coenzyme Q8B antibody, COQ8B antibody, NPHS9 antibody, Uncharacterized aarF domain containing protein kinase 4 antibody, Uncharacterized aarF domain-containing protein kinase 4 antibody

    UniProt

    Q96D53
You are here:
Chat with us!